Tel:
+49 (0)241 95 163 153
Fax:
+49 (0)241 95 163 155
E-Mail:
orders@anticorps-enligne.fr

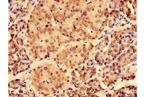
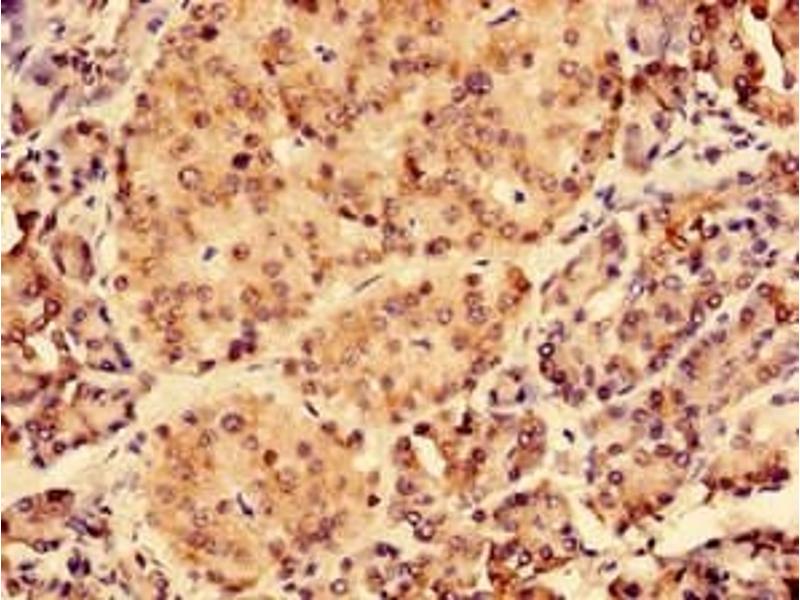
CEP126 anticorps (AA 559-670)

L’anticorps anti-CEP126 Polyclonal Lapin est utilisé pour la détection de CEP126 dans des échantillons de Humain. Il a été validé pour ELISA et IHC.
N° du produit ABIN7147383
328,90 €
Plus frais de livraison 40,00 € et TVA
Destination: France
Envoi sous 11 à 15 jours ouvrables

Aperçu rapide pour CEP126 anticorps (AA 559-670) (ABIN7147383)

Antigène

CEP126 (Centrosomal Protein 126 (CEP126))

Reactivité

Humain

Hôte

  • 4
Lapin

Clonalité

  • 4
Polyclonal

Conjugué

  • 2
  • 1
  • 1
Cet anticorp CEP126 est non-conjugé

Application

ELISA, Immunohistochemistry (IHC)
  • Épitope

    AA 559-670

    Fonction

    CEP126 Antibody

    Purification

    Protein G purified

    Pureté

    >95 %

    Immunogène

    Recombinant Human Centrosomal protein of 126 kDa protein (559-670AA)

    Isotype

    IgG
  • Indications d'application

    Optimal working dilution should be determined by the investigator.

    Restrictions

    For Research Use only
  • Format

    Liquid

    Buffer

    Preservative: 0.03 % Proclin 300
    Constituents: 50 % Glycerol, 0.01M PBS, PH 7.4

    Agent conservateur

    ProClin

    Précaution d'utilisation

    This product contains ProClin: a POISONOUS AND HAZARDOUS SUBSTANCE which should be handled by trained staff only.

    Stock

    -20 °C,-80 °C

    Stockage commentaire

    Upon receipt, store at -20°C or -80°C. Avoid repeated freeze.
  • Antigène

    CEP126 (Centrosomal Protein 126 (CEP126))

    Autre désignation

    CEP126

    Sujet

    Background: May participate in cytokinesis.

    Aliases: CEP126 antibody, KIAA1377 antibody, Centrosomal protein of 126 kDa antibody

    UniProt

    Q9P2H0
Vous êtes ici:
Chat with us!