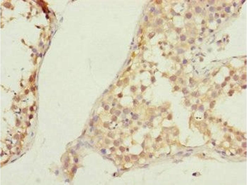
CSPP1 anticorps (AA 997-1256)
Aperçu rapide pour CSPP1 anticorps (AA 997-1256) (ABIN7147449)
Antigène
Voir toutes CSPP1 (Cspp1) AnticorpsReactivité
Hôte
Clonalité
Conjugué
Application
-
-
Épitope
- AA 997-1256
-
Fonction
- CSPP1 Antibody
-
Purification
- Antigen Affinity Purified
-
Immunogène
- Recombinant Human Centrosome and spindle pole-associated protein 1 protein (997-1256AA)
-
Isotype
- IgG
-
-
-
-
Indications d'application
- Optimal working dilution should be determined by the investigator.
-
Restrictions
- For Research Use only
-
-
-
Format
- Liquid
-
Buffer
- PBS with 0.02 % sodium azide, 50 % glycerol, pH 7.3.
-
Agent conservateur
- Sodium azide
-
Précaution d'utilisation
- This product contains Sodium azide: a POISONOUS AND HAZARDOUS SUBSTANCE which should be handled by trained staff only.
-
Stock
- -20 °C,-80 °C
-
Stockage commentaire
- Upon receipt, store at -20°C or -80°C. Avoid repeated freeze.
-
-
- CSPP1 (Cspp1) (Centrosome and Spindle Pole Associated Protein 1 (Cspp1))
-
Autre désignation
- CSPP1
-
Sujet
-
Background: May play a role in cell-cycle-dependent microtubule organization.
Aliases: CSPP1 antibody, CSPPCentrosome and spindle pole-associated protein 1 antibody
-
UniProt
- Q1MSJ5
Antigène
-