Tel:
+49 (0)241 95 163 153
Fax:
+49 (0)241 95 163 155
E-Mail:
orders@anticorps-enligne.fr

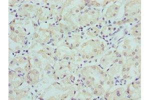
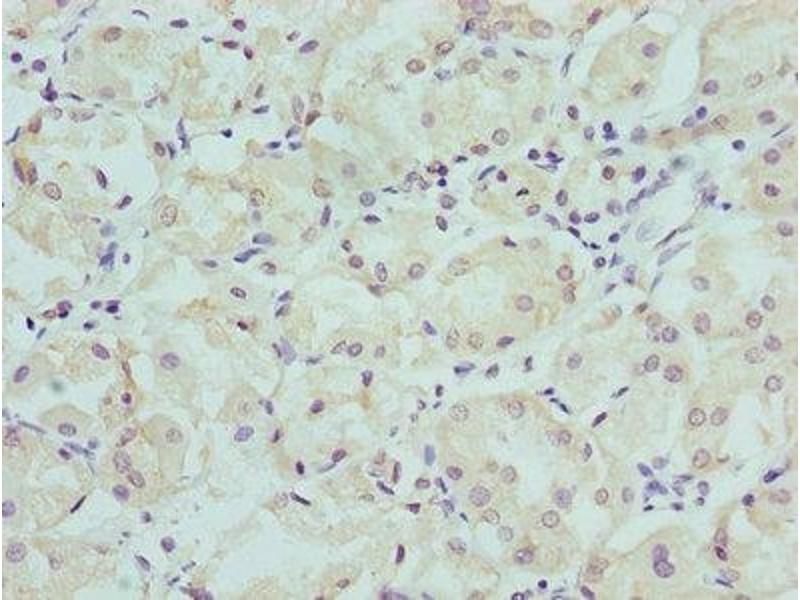
CFAP410 anticorps (AA 1-200)

Cet anticorps Lapin Polyclonal détecte spécifiquement CFAP410 dans ELISA et IHC. Il présente une réactivité avec des échantillons de Humain.
N° du produit ABIN7147760
328,90 €
Plus frais de livraison 40,00 € et TVA
Destination: France
Envoi sous 11 à 15 jours ouvrables

Aperçu rapide pour CFAP410 anticorps (AA 1-200) (ABIN7147760)

Antigène

CFAP410 (Cilia and Flagella Associated Protein 410 (CFAP410))

Reactivité

Humain

Hôte

  • 6
Lapin

Clonalité

  • 6
Polyclonal

Conjugué

  • 3
  • 1
  • 1
  • 1
Cet anticorp CFAP410 est non-conjugé

Application

  • 4
  • 2
  • 2
  • 1
ELISA, Immunohistochemistry (IHC)
  • Épitope

    • 4
    • 2
    • 1
    • 1
    AA 1-200

    Fonction

    CFAP410 Antibody

    Purification

    Protein G purified

    Pureté

    >95 %

    Immunogène

    Recombinant Human Cilia- and flagella-associated protein 410 protein (1-200AA)

    Isotype

    IgG
  • Indications d'application

    Optimal working dilution should be determined by the investigator.

    Restrictions

    For Research Use only
  • Format

    Liquid

    Buffer

    Preservative: 0.03 % Proclin 300
    Constituents: 50 % Glycerol, 0.01M PBS, PH 7.4

    Agent conservateur

    ProClin

    Précaution d'utilisation

    This product contains ProClin: a POISONOUS AND HAZARDOUS SUBSTANCE which should be handled by trained staff only.

    Stock

    -20 °C,-80 °C

    Stockage commentaire

    Upon receipt, store at -20°C or -80°C. Avoid repeated freeze.
  • Antigène

    CFAP410 (Cilia and Flagella Associated Protein 410 (CFAP410))

    Autre désignation

    CFAP410

    Sujet

    Background: Plays a role in cilia formation and/or maintenance (By similarity). Plays a role in the regulation of cell morphology and cytoskeletal organization (PubMed:21834987). Involved in DNA damage repair (PubMed:26290490).

    Aliases: A2 antibody, C21orf HUMF09G8.5 antibody, C21orf-HUMF09G8.5 antibody, C21orf2 antibody, Chromosome 21 open reading frame 2 antibody, CU002_HUMAN antibody, Hypothetical protein LOC755 antibody, Nuclear encoded mitochondrial protein cDNA A2 YF5 antibody, Protein C21orf2 antibody, Uncharacterized protein C21orf2 antibody, YF 5 antibody, YF5 antibody, YF5/A2 antibody

    UniProt

    O43822
Vous êtes ici:
Chat with us!