Tel:
+49 (0)241 95 163 153
Fax:
+49 (0)241 95 163 155
E-Mail:
orders@anticorps-enligne.fr

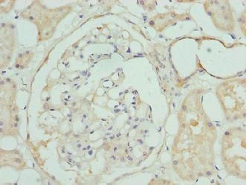
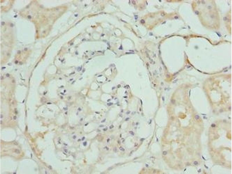
CLYBL anticorps (AA 23-340)

Cet anticorps Lapin Polyclonal détecte spécifiquement CLYBL dans ELISA, WB et IHC. Il présente une réactivité avec des échantillons de Humain.
N° du produit ABIN7147805
328,90 €
Plus frais de livraison 40,00 € et TVA
Destination: France
Envoi sous 11 à 15 jours ouvrables

Aperçu rapide pour CLYBL anticorps (AA 23-340) (ABIN7147805)

Antigène

Voir toutes CLYBL Anticorps
CLYBL (Citrate Lyase beta Like (CLYBL))

Reactivité

  • 9
  • 3
  • 2
Humain

Hôte

  • 7
  • 2
Lapin

Clonalité

  • 9
Polyclonal

Conjugué

  • 5
  • 2
  • 1
  • 1
Cet anticorp CLYBL est non-conjugé

Application

ELISA, Western Blotting (WB), Immunohistochemistry (IHC)
  • Épitope

    • 5
    • 2
    • 1
    AA 23-340

    Fonction

    CLYBL Antibody

     Réactivité croisée

    Souris

    Purification

    Protein G purified

    Pureté

    >95 %

    Immunogène

    Recombinant Human Citrate lyase subunit beta-like protein, mitochondrial protein (23-340AA)

    Isotype

    IgG
  • Indications d'application

    Optimal working dilution should be determined by the investigator.

    Restrictions

    For Research Use only
  • Format

    Liquid

    Buffer

    Preservative: 0.03 % Proclin 300
    Constituents: 50 % Glycerol, 0.01M PBS, PH 7.4

    Agent conservateur

    ProClin

    Précaution d'utilisation

    This product contains ProClin: a POISONOUS AND HAZARDOUS SUBSTANCE which should be handled by trained staff only.

    Stock

    -20 °C,-80 °C

    Stockage commentaire

    Upon receipt, store at -20°C or -80°C. Avoid repeated freeze.
  • Antigène

    CLYBL (Citrate Lyase beta Like (CLYBL))

    Autre désignation

    CLYBL

    Sujet

    Background: Mitochondrial malate and beta-methylmalate synthase, which may be involved in vitamin B12 metabolism (Probable). Acts both as a malate synthase, converting glyoxylate and acetyl-CoA to malate. Also acts as a beta-methylmalate synthase by mediating conversion of glyoxylate and propionyl-CoA to beta-methylmalate (PubMed:24334609).

    Aliases: CLYBL antibody, CLB antibody, Citramalyl-CoA lyase antibody, mitochondrial antibody, EC 4.1.3.25, antibody, 3S)-malyl-CoA thioesterase antibody, EC 3.1.2.30 antibody, Beta-methylmalate synthase antibody, EC 2.3.3.- antibody, Citrate lyase subunit beta-like protein antibody, Citrate lyase beta-like antibody, Malate synthase antibody, EC 2.3.3.9 antibody

    UniProt

    Q8N0X4
Vous êtes ici:
Chat with us!