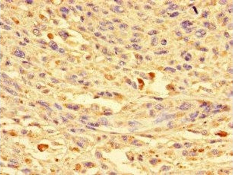
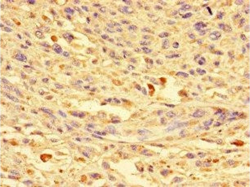
CKAP2L anticorps (AA 246-413)
Aperçu rapide pour CKAP2L anticorps (AA 246-413) (ABIN7149360)
Antigène
Reactivité
Hôte
Clonalité
Conjugué
Application
-
-
Épitope
- AA 246-413
-
Fonction
- CKAP2L Antibody
-
Purification
- Protein G purified
-
Pureté
- >95 %
-
Immunogène
- Recombinant Human Cytoskeleton-associated protein 2-like protein (246-413AA)
-
Isotype
- IgG
-
-
-
-
Indications d'application
- Optimal working dilution should be determined by the investigator.
-
Restrictions
- For Research Use only
-
-
-
Format
- Liquid
-
Buffer
-
Preservative: 0.03 % Proclin 300
Constituents: 50 % Glycerol, 0.01M PBS, PH 7.4 -
Agent conservateur
- ProClin
-
Précaution d'utilisation
- This product contains ProClin: a POISONOUS AND HAZARDOUS SUBSTANCE which should be handled by trained staff only.
-
Stock
- -20 °C,-80 °C
-
Stockage commentaire
- Upon receipt, store at -20°C or -80°C. Avoid repeated freeze.
-
-
- CKAP2L (Cytoskeleton Associated Protein 2-Like (CKAP2L))
-
Autre désignation
- CKAP2L
-
Sujet
-
Background: Microtubule-associated protein required for mitotic spindle formation and cell-cycle progression in neural progenitor cells.
Aliases: CKAP2L antibody, CKP2L_HUMAN antibody, Cytoskeleton-associated protein 2-like antibody, FLJ40629 antibody
-
UniProt
- Q8IYA6
Antigène
-