Tel:
+49 (0)241 95 163 153
Fax:
+49 (0)241 95 163 155
E-Mail:
orders@anticorps-enligne.fr

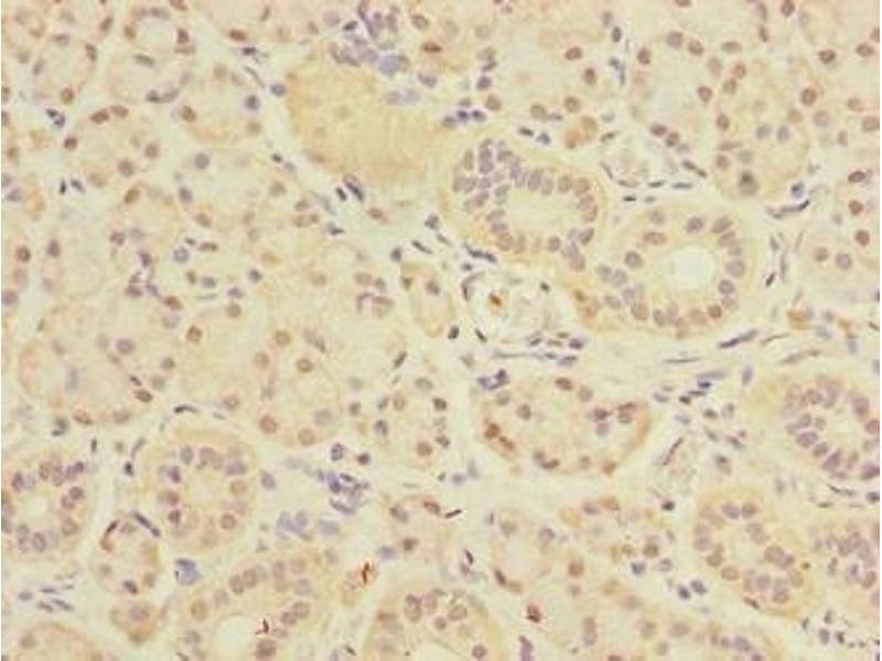
DEXI anticorps (AA 1-95)

Cet anticorps Lapin Polyclonal détecte spécifiquement DEXI dans ELISA et IHC. Il présente une réactivité avec des échantillons de Humain.
N° du produit ABIN7149836
328,90 €
Plus frais de livraison 40,00 € et TVA
Destination: France
Envoi sous 11 à 15 jours ouvrables

Aperçu rapide pour DEXI anticorps (AA 1-95) (ABIN7149836)

Antigène

Voir toutes DEXI Anticorps
DEXI (Dexamethasone-Induced Transcript (DEXI))

Reactivité

  • 25
  • 16
  • 1
Humain

Hôte

  • 31
Lapin

Clonalité

  • 31
Polyclonal

Conjugué

  • 8
  • 4
  • 3
  • 3
  • 1
  • 1
  • 1
  • 1
  • 1
  • 1
  • 1
  • 1
  • 1
  • 1
  • 1
  • 1
  • 1
Cet anticorp DEXI est non-conjugé

Application

  • 14
  • 13
  • 13
  • 11
  • 3
  • 3
  • 1
  • 1
ELISA, Immunohistochemistry (IHC)
Vous êtes ici:
Chat with us!