Tel:
+49 (0)241 95 163 153
Fax:
+49 (0)241 95 163 155
E-Mail:
orders@anticorps-enligne.fr

SWI5 anticorps (AA 54-112)

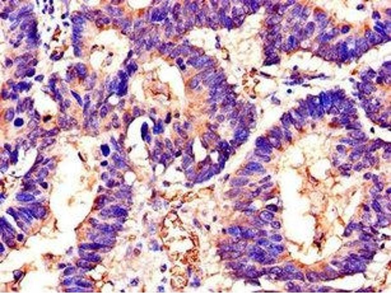
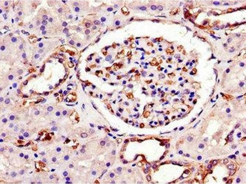
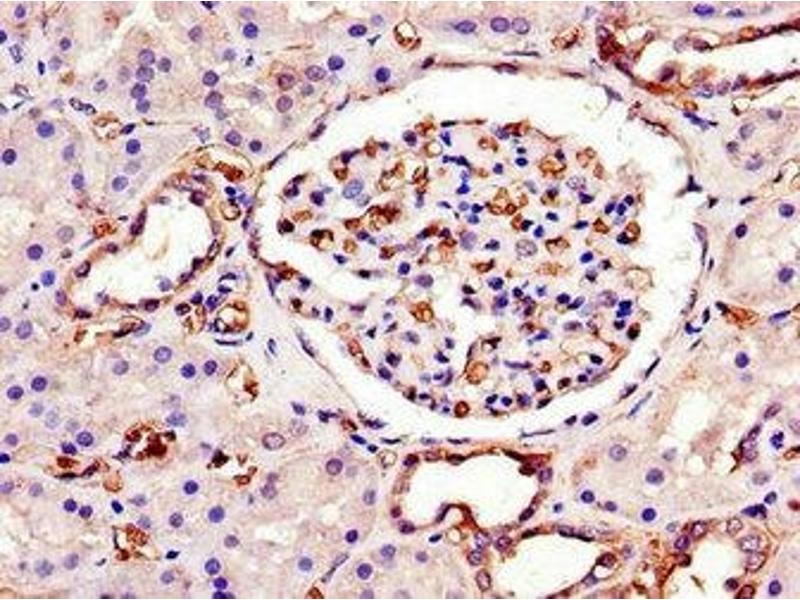
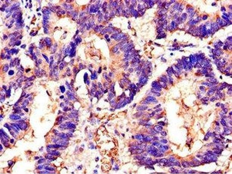
Cet anticorps anti-SWI5 Polyclonal Lapin (ABIN7150297) détecte spécifiquement SWI5 dans ELISA, WB, IHC et IF. L’anticorps est réactif avec des échantillons de Humain.
N° du produit ABIN7150297
328,90 €
Plus frais de livraison 40,00 € et TVA
Destination: France
Envoi sous 11 à 15 jours ouvrables

Aperçu rapide pour SWI5 anticorps (AA 54-112) (ABIN7150297)

Antigène

Voir toutes SWI5 Anticorps
SWI5 (SWI5 Recombination Repair Homolog (SWI5))

Reactivité

  • 6
  • 2
  • 1
Humain

Hôte

  • 6
Lapin

Clonalité

  • 6
Polyclonal

Conjugué

  • 2
  • 2
  • 1
  • 1
Cet anticorp SWI5 est non-conjugé

Application

ELISA, Western Blotting (WB), Immunohistochemistry (IHC), Immunofluorescence (IF)
  • Épitope

    • 5
    • 1
    AA 54-112

    Fonction

    SWI5 Antibody

     Réactivité croisée

    Souris

    Purification

    Protein G purified

    Pureté

    >95 %

    Immunogène

    Recombinant Human DNA repair protein SWI5 homolog protein (54-112AA)

    Isotype

    IgG
  • Indications d'application

    Optimal working dilution should be determined by the investigator.

    Restrictions

    For Research Use only
  • Format

    Liquid

    Buffer

    Preservative: 0.03 % Proclin 300
    Constituents: 50 % Glycerol, 0.01M PBS, PH 7.4

    Agent conservateur

    ProClin

    Précaution d'utilisation

    This product contains ProClin: a POISONOUS AND HAZARDOUS SUBSTANCE which should be handled by trained staff only.

    Stock

    -20 °C,-80 °C

    Stockage commentaire

    Upon receipt, store at -20°C or -80°C. Avoid repeated freeze.
  • Antigène

    SWI5 (SWI5 Recombination Repair Homolog (SWI5))

    Autre désignation

    SWI5

    Sujet

    Background: Component of the SWI5-SFR1 complex, a complex required for double-strand break repair via homologous recombination.

    Aliases: SWI5 antibody, C9orf119 antibody, SAE3 antibody, DNA repair protein SWI5 homolog antibody, HBV DNAPTP1-transactivated protein A antibody, Protein SAE3 homolog antibody

    UniProt

    Q1ZZU3
Vous êtes ici:
Chat with us!