DPM1 anticorps (AA 2-260)
Aperçu rapide pour DPM1 anticorps (AA 2-260) (ABIN7150590)
Antigène
Voir toutes DPM1 AnticorpsReactivité
Hôte
Clonalité
Conjugué
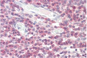
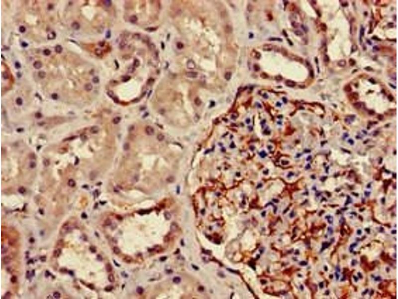
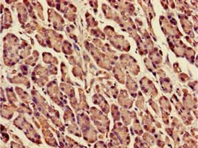
Application
-
-
Épitope
- AA 2-260
-
Fonction
- DPM1 Antibody
-
Réactivité croisée
- Souris
-
Purification
- Protein G purified
-
Pureté
- >95 %
-
Immunogène
- Recombinant Human Dolichol-phosphate mannosyltransferase subunit 1 protein (2-260AA)
-
Isotype
- IgG
-
-
-
-
Indications d'application
- Optimal working dilution should be determined by the investigator.
-
Restrictions
- For Research Use only
-
-
-
Format
- Liquid
-
Buffer
-
Preservative: 0.03 % Proclin 300
Constituents: 50 % Glycerol, 0.01M PBS, pH 7.4 -
Agent conservateur
- ProClin
-
Précaution d'utilisation
- This product contains ProClin: a POISONOUS AND HAZARDOUS SUBSTANCE which should be handled by trained staff only.
-
Stock
- -20 °C,-80 °C
-
Stockage commentaire
- Upon receipt, store at -20°C or -80°C. Avoid repeated freeze.
-
-
- DPM1 (Dolichyl-Phosphate Mannosyltransferase Polypeptide 1, Catalytic Subunit (DPM1))
-
Autre désignation
- DPM1
-
Sujet
-
Background: Transfers mannose from GDP-mannose to dolichol monophosphate to form dolichol phosphate mannose (Dol-P-Man) which is the mannosyl donor in pathways leading to N-glycosylation, glycosyl phosphatidylinositol membrane anchoring, and O-mannosylation of proteins, catalytic subunit of the dolichol-phosphate mannose (DPM) synthase complex.
Aliases: CDGIE antibody, dolichol monophosphate mannose synthase antibody, Dolichol phosphate mannose synthase antibody, Dolichol-phosphate mannose synthase antibody, Dolichol-phosphate mannosyltransferase antibody, Dolichyl phosphate beta D mannosyltransferase antibody, dolichyl phosphate mannosyltransferase polypeptide 1 antibody, dolichyl phosphate mannosyltransferase polypeptide 1 catalytic subunit antibody, Dolichyl-phosphate beta-D-mannosyltransferase antibody, DPM synthase antibody, DPM1 antibody, DPM1_HUMAN antibody, Mannose P dolichol synthase antibody, Mannose-P-dolichol synthase antibody, MPD synthase antibody, MPDS antibody
-
UniProt
- O60762
-
Pathways
- Inositol Metabolic Process
Antigène
-