Tel:
+49 (0)241 95 163 153
Fax:
+49 (0)241 95 163 155
E-Mail:
orders@anticorps-enligne.fr

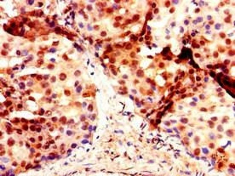
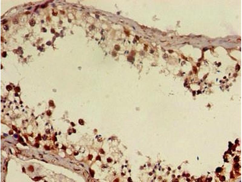
DMRT1 anticorps (AA 195-363)

Cet anticorps Lapin Polyclonal détecte spécifiquement DMRT1 dans WB, ELISA et IHC. Il présente une réactivité avec des échantillons de Humain.
N° du produit ABIN7150637
328,90 €
Plus frais de livraison 40,00 € et TVA
Destination: France
Envoi sous 11 à 15 jours ouvrables

Aperçu rapide pour DMRT1 anticorps (AA 195-363) (ABIN7150637)

Antigène

Voir toutes DMRT1 Anticorps
DMRT1 (Doublesex and Mab-3 Related Transcription Factor 1 (DMRT1))

Reactivité

  • 43
  • 4
  • 3
  • 3
  • 3
  • 2
  • 2
  • 1
  • 1
  • 1
  • 1
Humain

Hôte

  • 37
  • 8
Lapin

Clonalité

  • 28
  • 17
Polyclonal

Conjugué

  • 27
  • 3
  • 3
  • 2
  • 1
  • 1
  • 1
  • 1
  • 1
  • 1
  • 1
  • 1
  • 1
  • 1
Cet anticorp DMRT1 est non-conjugé

Application

  • 40
  • 12
  • 10
  • 5
  • 1
Western Blotting (WB), ELISA, Immunohistochemistry (IHC)
  • Épitope

    • 8
    • 5
    • 5
    • 5
    • 3
    • 3
    • 1
    • 1
    • 1
    • 1
    • 1
    • 1
    AA 195-363

    Fonction

    DMRT1 Antibody

     Réactivité croisée

    Souris

    Purification

    Protein G purified

    Pureté

    >95 %

    Immunogène

    Recombinant Human Doublesex- and mab-3-related transcription factor 1 protein (195-363AA)

    Isotype

    IgG
  • Indications d'application

    Optimal working dilution should be determined by the investigator.

    Restrictions

    For Research Use only
  • Format

    Liquid

    Buffer

    Preservative: 0.03 % Proclin 300
    Constituents: 50 % Glycerol, 0.01M PBS, PH 7.4

    Agent conservateur

    ProClin

    Précaution d'utilisation

    This product contains ProClin: a POISONOUS AND HAZARDOUS SUBSTANCE which should be handled by trained staff only.

    Stock

    -20 °C,-80 °C

    Stockage commentaire

    Upon receipt, store at -20°C or -80°C. Avoid repeated freeze.
  • Antigène

    DMRT1 (Doublesex and Mab-3 Related Transcription Factor 1 (DMRT1))

    Autre désignation

    DMRT1

    Sujet

    Background: Transcription factor that plays a key role in male sex determination and differentiation by controlling testis development and male germ cell proliferation. Plays a central role in spermatogonia by inhibiting meiosis in undifferentiated spermatogonia and promoting mitosis, leading to spermatogonial development and allowing abundant and continuous production of sperm. Acts both as a transcription repressor and activator: prevents meiosis by restricting retinoic acid (RA)-dependent transcription and repressing STRA8 expression and promotes spermatogonial development by activating spermatogonial differentiation genes, such as SOHLH1. Also plays a key role in postnatal sex maintenance by maintaining testis determination and preventing feminization: represses transcription of female promoting genes such as FOXL2 and activates male-specific genes. May act as a tumor suppressor. May also play a minor role in oogenesis (By similarity).

    Aliases: CT154 antibody, DM domain expressed in testis 1 antibody, DM domain expressed in testis protein 1 antibody, DM domain gene expressed in testis antibody, DMRT 1 antibody, dmrt1 antibody, DMRT1_HUMAN antibody, DMT 1 antibody, DMT1 antibody, Doublesex and mab 3 related transcription factor 1 antibody, Doublesex- and mab-3-related transcription factor 1 antibody

    UniProt

    Q9Y5R6
Vous êtes ici:
Chat with us!