Tel:
+49 (0)241 95 163 153
Fax:
+49 (0)241 95 163 155
E-Mail:
orders@anticorps-enligne.fr

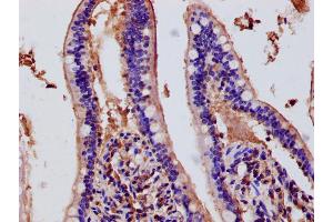
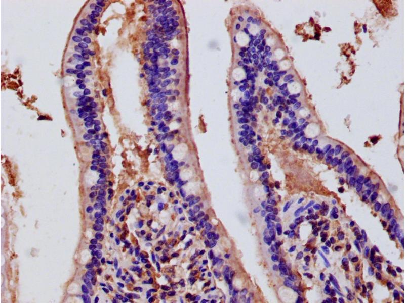
DUOX2 anticorps (AA 1-100)

Cet anticorps anti-DUOX2 Polyclonal Lapin (ABIN7150690) détecte spécifiquement DUOX2 dans IHC et ELISA. L’anticorps est réactif avec des échantillons de Humain.
N° du produit ABIN7150690
328,90 €
Plus frais de livraison 40,00 € et TVA
Destination: France
Envoi sous 11 à 15 jours ouvrables

Aperçu rapide pour DUOX2 anticorps (AA 1-100) (ABIN7150690)

Antigène

Voir toutes DUOX2 Anticorps
DUOX2 (Dual Oxidase 2 (DUOX2))

Reactivité

  • 18
  • 6
  • 4
  • 1
  • 1
Humain

Hôte

  • 20
  • 1
Lapin

Clonalité

  • 20
  • 1
Polyclonal

Conjugué

  • 11
  • 1
  • 1
  • 1
  • 1
  • 1
  • 1
  • 1
  • 1
  • 1
  • 1
Cet anticorp DUOX2 est non-conjugé

Application

  • 12
  • 9
  • 6
  • 6
  • 2
  • 1
  • 1
  • 1
  • 1
Immunohistochemistry (IHC), ELISA
  • Épitope

    • 5
    • 2
    • 1
    • 1
    • 1
    • 1
    • 1
    • 1
    AA 1-100

    Fonction

    DUOX2 Antibody

    Purification

    Antigen Affinity Purified

    Immunogène

    Recombinant Human Dual oxidase 2 protein (1-100AA)

    Isotype

    IgG
  • Indications d'application

    Optimal working dilution should be determined by the investigator.

    Restrictions

    For Research Use only
  • Format

    Liquid

    Buffer

    PBS with 0.02 % sodium azide, 50 % glycerol, pH 7.3.

    Agent conservateur

    Sodium azide

    Précaution d'utilisation

    This product contains Sodium azide: a POISONOUS AND HAZARDOUS SUBSTANCE which should be handled by trained staff only.

    Stock

    -20 °C,-80 °C

    Stockage commentaire

    Upon receipt, store at -20°C or -80°C. Avoid repeated freeze.
  • Antigène

    DUOX2 (Dual Oxidase 2 (DUOX2))

    Autre désignation

    DUOX2

    Sujet

    Background: Generates hydrogen peroxide which is required for the activity of thyroid peroxidase/TPO and lactoperoxidase/LPO. Plays a role in thyroid hormones synthesis and lactoperoxidase-mediated antimicrobial defense at the surface of mucosa. May have its own peroxidase activity through its N-terminal peroxidase-like domain.

    Aliases: Dual oxidase 2 antibody, Dual oxidase like domains 2 antibody, Dual oxidase2 antibody, DUOX2 antibody, DUOX2_HUMAN antibody, Flavoprotein NADPH oxidase antibody, Large NOX 2 antibody, LNOX2 antibody, Long NOX 2 antibody, NADH/NADPH thyroid oxidase p138 tox antibody, NADH/NADPH thyroid oxidase p138-tox antibody, NADPH oxidase/peroxidase DUOX2 antibody, NADPH thyroid oxidase 2 antibody, Nicotinamide adenine dinucleotide phosphate oxidase antibody, NOXEF2 antibody, p138 thyroid oxidase antibody, P138 TOX antibody, TDH6 antibody, THOX2 antibody, Thyroid oxidase 2 antibody

    UniProt

    Q9NRD8

    Pathways

    Thyroid Hormone Synthesis
Vous êtes ici:
Chat with us!