Tel:
+49 (0)241 95 163 153
Fax:
+49 (0)241 95 163 155
E-Mail:
orders@anticorps-enligne.fr

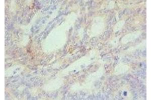
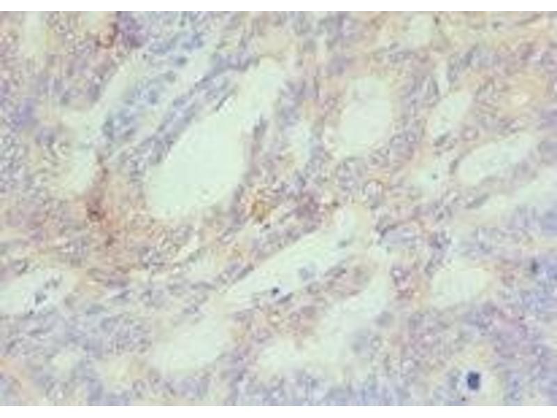
CBX4 anticorps (AA 401-560)

Cet anticorps anti-CBX4 Polyclonal Lapin (ABIN7150954) détecte spécifiquement CBX4 dans ELISA et IHC. L’anticorps est réactif avec des échantillons de Humain.
N° du produit ABIN7150954
328,90 €
Plus frais de livraison 40,00 € et TVA
Destination: France
Envoi sous 11 à 15 jours ouvrables

Aperçu rapide pour CBX4 anticorps (AA 401-560) (ABIN7150954)

Antigène

Voir toutes CBX4 Anticorps
CBX4 (Chromobox Homolog 4 (CBX4))

Reactivité

  • 65
  • 34
  • 8
  • 6
  • 5
  • 5
  • 5
  • 3
  • 2
  • 2
  • 2
  • 1
  • 1
  • 1
Humain

Hôte

  • 62
  • 3
Lapin

Clonalité

  • 60
  • 5
Polyclonal

Conjugué

  • 27
  • 5
  • 5
  • 5
  • 3
  • 3
  • 1
  • 1
  • 1
  • 1
  • 1
  • 1
  • 1
  • 1
  • 1
  • 1
  • 1
  • 1
  • 1
  • 1
  • 1
  • 1
  • 1
Cet anticorp CBX4 est non-conjugé

Application

  • 52
  • 31
  • 15
  • 13
  • 13
  • 12
  • 6
  • 6
  • 3
  • 2
  • 2
  • 1
  • 1
ELISA, Immunohistochemistry (IHC)
  • Épitope

    • 15
    • 8
    • 8
    • 6
    • 5
    • 4
    • 2
    • 1
    • 1
    • 1
    • 1
    • 1
    • 1
    • 1
    • 1
    • 1
    AA 401-560

    Fonction

    CBX4 Antibody

    Purification

    Antigen Affinity purified

    Immunogène

    Recombinant Human E3 SUMO-protein ligase CBX4 protein (401-560AA)

    Isotype

    IgG
  • Indications d'application

    Optimal working dilution should be determined by the investigator.

    Restrictions

    For Research Use only
  • Format

    Liquid

    Buffer

    PBS with 0.02 % sodium azide, 50 % glycerol, pH 7.3.

    Agent conservateur

    Sodium azide

    Précaution d'utilisation

    This product contains Sodium azide: a POISONOUS AND HAZARDOUS SUBSTANCE which should be handled by trained staff only.

    Stock

    -20 °C,-80 °C

    Stockage commentaire

    Upon receipt, store at -20°C or -80°C. Avoid repeated freeze.
  • Antigène

    CBX4 (Chromobox Homolog 4 (CBX4))

    Autre désignation

    CBX4

    Sujet

    Background: E3 SUMO-protein ligase which facilitates SUMO1 conjugation by UBE2I. Involved in the sumoylation of HNRNPK, a p53/TP53 transcriptional coactivator, hence indirectly regulates p53/TP53 transcriptional activation resulting in p21/CDKN1A expression. Monosumoylates ZNF131. Component of a Polycomb group (PcG) multiprotein PRC1-like complex, a complex class required to maintain the transcriptionally repressive state of many genes, including Hox genes, throughout development. PcG PRC1 complex acts via chromatin remodeling and modification of histones, it mediates monoubiquitination of histone H2A \\\'Lys-119\\\', rendering chromatin heritably changed in its expressibility.

    Aliases: CBX 4 antibody, CBX4 antibody, Cbx4 chromobox homolog 4 (Drosophila Pc class) antibody, CBX4_HUMAN antibody, Chromobox homolog 4 (Pc class homolog, Drosophila) antibody, Chromobox homolog 4 antibody, Chromobox protein homolog 4 antibody, E3 SUMO protein ligase CBX 4 antibody, E3 SUMO protein ligase CBX4 antibody, E3 SUMO-protein ligase CBX4 antibody, hPc 2 antibody, hPc2 antibody, NBP 16 antibody, NBP16 antibody, NS5ATP1 binding protein 16 antibody, Pc 2 antibody, Pc class 2 homolog antibody, Pc class homolog antibody, Pc class homolog Drosophila antibody, PC2 antibody, Polycomb 2 homolog antibody

    UniProt

    O00257
Vous êtes ici:
Chat with us!