Tel:
+49 (0)241 95 163 153
Fax:
+49 (0)241 95 163 155
E-Mail:
orders@anticorps-enligne.fr

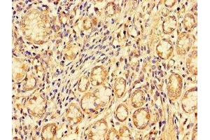
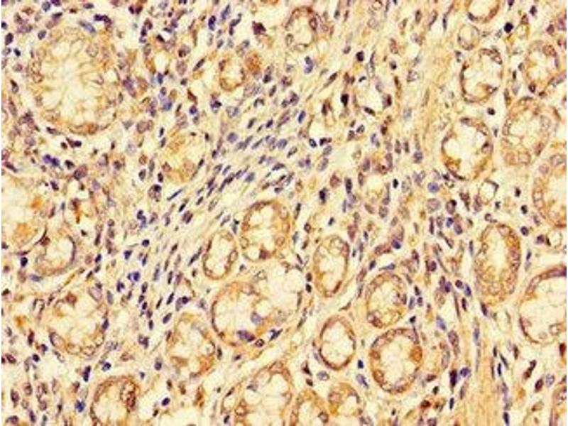
PDZRN3 anticorps (AA 133-404)

L’anticorps anti-PDZRN3 Polyclonal Lapin est utilisé pour la détection de PDZRN3 dans des échantillons de Humain. Il a été validé pour WB, ELISA, IHC et IF.
N° du produit ABIN7151097
394,68 €
Plus frais de livraison 40,00 € et TVA
Destination: France
Envoi sous 11 à 15 jours ouvrables

Aperçu rapide pour PDZRN3 anticorps (AA 133-404) (ABIN7151097)

Antigène

Voir toutes PDZRN3 Anticorps
PDZRN3 (PDZ Domain Containing Ring Finger 3 (PDZRN3))

Reactivité

  • 25
  • 19
  • 17
  • 4
  • 4
  • 2
  • 2
  • 1
  • 1
  • 1
  • 1
Humain

Hôte

  • 24
  • 1
Lapin

Clonalité

  • 25
Polyclonal

Conjugué

  • 7
  • 3
  • 2
  • 2
  • 1
  • 1
  • 1
  • 1
  • 1
  • 1
  • 1
  • 1
  • 1
  • 1
  • 1
Cet anticorp PDZRN3 est non-conjugé

Application

  • 21
  • 13
  • 4
  • 3
  • 1
  • 1
Western Blotting (WB), ELISA, Immunohistochemistry (IHC), Immunofluorescence (IF)
  • Épitope

    • 5
    • 2
    • 1
    • 1
    • 1
    AA 133-404

    Fonction

    PDZRN3 Antibody

     Réactivité croisée

    Souris

    Purification

    Protein G purified

    Pureté

    >95 %

    Immunogène

    Recombinant Human E3 ubiquitin-protein ligase PDZRN3 protein (133-404AA)

    Isotype

    IgG
  • Indications d'application

    Optimal working dilution should be determined by the investigator.

    Restrictions

    For Research Use only
  • Format

    Liquid

    Buffer

    Preservative: 0.03 % Proclin 300
    Constituents: 50 % Glycerol, 0.01M PBS, PH 7.4

    Agent conservateur

    ProClin

    Précaution d'utilisation

    This product contains ProClin: a POISONOUS AND HAZARDOUS SUBSTANCE which should be handled by trained staff only.

    Stock

    -20 °C,-80 °C

    Stockage commentaire

    Upon receipt, store at -20°C or -80°C. Avoid repeated freeze.
  • Antigène

    PDZRN3 (PDZ Domain Containing Ring Finger 3 (PDZRN3))

    Autre désignation

    PDZRN3

    Sujet

    Background: E3 ubiquitin-protein ligase. Plays an important role in regulating the surface level of MUSK on myotubes. Mediates the ubiquitination of MUSK, promoting its endocytosis and lysosomal degradation. Might contribute to terminal myogenic differentiation (By similarity).

    Aliases: E3 ubiquitin-protein ligase PDZRN3 antibody, KIAA1095 antibody, Ligand of Numb protein X 3 antibody, likely ortholog of mouse semaF cytoplasmic domain associated protein 3 antibody, LNX3 antibody, PDZ domain containing ring finger 3 antibody, PDZ domain-containing RING finger protein 3 antibody, Pdzrn3 antibody, Protein SEMACAP3 antibody, PZRN3_HUMAN antibody, SEMACAP3 antibody, Semaphorin cytoplasmic domain associated protein antibody, Semaphorin cytoplasmic domain-associated protein 3 antibody, SEMCAP3 antibody

    UniProt

    Q9UPQ7

    Pathways

    Skeletal Muscle Fiber Development
Vous êtes ici:
Chat with us!