Tel:
+49 (0)241 95 163 153
Fax:
+49 (0)241 95 163 155
E-Mail:
orders@anticorps-enligne.fr

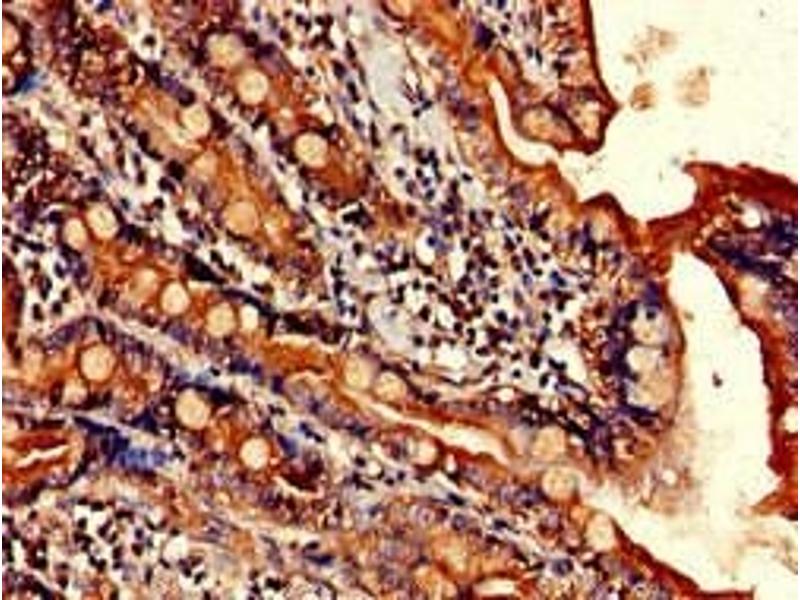
ELOVL4 anticorps (AA 270-314)

Cet anticorps Lapin Polyclonal détecte spécifiquement ELOVL4 dans WB, ELISA, IHC et IF. Il présente une réactivité avec des échantillons de Humain.
N° du produit ABIN7151564
328,90 €
Plus frais de livraison 40,00 € et TVA
Destination: France
Envoi sous 11 à 15 jours ouvrables

Aperçu rapide pour ELOVL4 anticorps (AA 270-314) (ABIN7151564)

Antigène

Voir toutes ELOVL4 Anticorps
ELOVL4 (ELOVL Fatty Acid Elongase 4 (ELOVL4))

Reactivité

  • 35
  • 16
  • 11
  • 5
  • 2
  • 2
Humain

Hôte

  • 36
Lapin

Clonalité

  • 36
Polyclonal

Conjugué

  • 18
  • 5
  • 3
  • 2
  • 1
  • 1
  • 1
  • 1
  • 1
  • 1
  • 1
  • 1
Cet anticorp ELOVL4 est non-conjugé

Application

  • 26
  • 23
  • 6
  • 4
  • 4
  • 2
  • 1
  • 1
  • 1
Western Blotting (WB), ELISA, Immunohistochemistry (IHC), Immunofluorescence (IF)
  • Épitope

    • 8
    • 5
    • 5
    • 2
    • 2
    • 2
    • 2
    • 1
    • 1
    • 1
    • 1
    • 1
    AA 270-314

    Fonction

    ELOVL4 Antibody

    Purification

    Protein G purified

    Pureté

    >95 %

    Immunogène

    Recombinant Human Elongation of very long chain fatty acids protein 4 protein (270-314AA)

    Isotype

    IgG
  • Indications d'application

    Optimal working dilution should be determined by the investigator.

    Restrictions

    For Research Use only
  • Format

    Liquid

    Buffer

    Preservative: 0.03 % Proclin 300
    Constituents: 50 % Glycerol, 0.01M PBS, pH 7.4

    Agent conservateur

    ProClin

    Précaution d'utilisation

    This product contains ProClin: a POISONOUS AND HAZARDOUS SUBSTANCE which should be handled by trained staff only.

    Stock

    -20 °C,-80 °C

    Stockage commentaire

    Upon receipt, store at -20°C or -80°C. Avoid repeated freeze.
  • Antigène

    ELOVL4 (ELOVL Fatty Acid Elongase 4 (ELOVL4))

    Autre désignation

    ELOVL4

    Sujet

    Background: Catalyzes the first and rate-limiting reaction of the four that constitute the long-chain fatty acids elongation cycle. This endoplasmic reticulum-bound enzymatic process, allows the addition of 2 carbons to the chain of long- and very long-chain fatty acids/VLCFAs per cycle. Condensing enzyme that specifically elongates C24:0 and C26:0 acyl-CoAs. May participate to the production of saturated and monounsaturated VLCFAs of different chain lengths that are involved in multiple biological processes as precursors of membrane lipids and lipid mediators. May play a critical role in early brain and skin development.

    Aliases: 3-keto acyl-CoA synthase ELOVL4 antibody, ADMD antibody, Cancer/testis antigen 118 antibody, CT118 antibody, Elongation of very long chain fatty acids (FEN1/Elo2 SUR4/Elo3 yeast) like 4 antibody, Elongation of very long chain fatty acids like 4 antibody, Elongation of very long chain fatty acids protein 4 antibody, ELOV L4 antibody, ELOV4_HUMAN antibody, ELOVL 4 antibody, ELOVL4 antibody, FLJ17667 antibody, FLJ92876 antibody, Stargardt disease 3 antibody, Stargardt disease 3 autosomal dominant antibody, STGD 2 antibody, STGD 3 antibody, STGD2 antibody, STGD3 antibody

    UniProt

    Q9GZR5
Vous êtes ici:
Chat with us!