Tel:
+49 (0)241 95 163 153
Fax:
+49 (0)241 95 163 155
E-Mail:
orders@anticorps-enligne.fr

Embigin anticorps (AA 285-327)

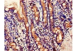
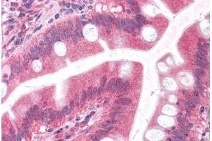
L’anticorps anti-Embigin Polyclonal Lapin est utilisé pour la détection de Embigin dans des échantillons de Humain. Il a été validé pour WB, ELISA, IHC et IF.
N° du produit ABIN7151598
328,90 €
Plus frais de livraison 40,00 € et TVA
Destination: France
Envoi sous 11 à 15 jours ouvrables

Aperçu rapide pour Embigin anticorps (AA 285-327) (ABIN7151598)

Antigène

Voir toutes Embigin (EMB) Anticorps
Embigin (EMB)

Reactivité

  • 17
  • 4
  • 2
  • 1
Humain

Hôte

  • 15
  • 2
Lapin

Clonalité

  • 15
  • 2
Polyclonal

Conjugué

  • 13
  • 2
  • 1
  • 1
Cet anticorp Embigin est non-conjugé

Application

  • 9
  • 7
  • 4
  • 2
  • 1
  • 1
  • 1
Western Blotting (WB), ELISA, Immunohistochemistry (IHC), Immunofluorescence (IF)
  • Épitope

    • 5
    • 2
    • 2
    • 1
    • 1
    • 1
    AA 285-327

    Fonction

    EMB Antibody

     Réactivité croisée

    Souris, Rat

    Purification

    Protein G purified

    Pureté

    >95 %

    Immunogène

    Recombinant Human Embigin protein (285-327AA)

    Isotype

    IgG
  • Indications d'application

    Optimal working dilution should be determined by the investigator.

    Restrictions

    For Research Use only
  • Format

    Liquid

    Buffer

    Preservative: 0.03 % Proclin 300
    Constituents: 50 % Glycerol, 0.01M PBS, pH 7.4

    Agent conservateur

    ProClin

    Précaution d'utilisation

    This product contains ProClin: a POISONOUS AND HAZARDOUS SUBSTANCE which should be handled by trained staff only.

    Stock

    -20 °C,-80 °C

    Stockage commentaire

    Upon receipt, store at -20°C or -80°C. Avoid repeated freeze.
  • Antigène

    Embigin (EMB)

    Autre désignation

    EMB

    Sujet

    Background: Plays a role in the outgrowth of motoneurons and in the formation of neuromuscular junctions. Following muscle denervation, promotes nerve terminal sprouting and the formation of additional acetylcholine receptor clusters at synaptic sites without affecting terminal Schwann cell number or morphology. Delays the retraction of terminal sprouts following re-innervation of denervated endplates. May play a role in targeting the monocarboxylate transporters SLC16A1 and SLC16A7 to the cell membrane (By similarity).

    Aliases: Emb antibody, EMB_HUMAN antibody, Embigin antibody, Embigin homolog (mouse) antibody, embigin homolog antibody, MGC71745 antibody, OTTHUMP00000161812 antibody, OTTHUMP00000221477 antibody, OTTHUMP00000221478 antibody, OTTHUMP00000221479 antibody

    UniProt

    Q6PCB8
Vous êtes ici:
Chat with us!