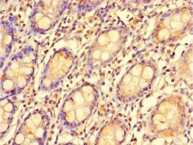
EDEM2 anticorps (AA 22-300)
Aperçu rapide pour EDEM2 anticorps (AA 22-300) (ABIN7151974)
Antigène
Voir toutes EDEM2 AnticorpsReactivité
Hôte
Clonalité
Conjugué
Application
-
-
Épitope
- AA 22-300
-
Fonction
- EDEM2 Antibody
-
Purification
- Protein G purified
-
Pureté
- >95 %
-
Immunogène
- Recombinant Human ER degradation-enhancing alpha-mannosidase-like protein 2 protein (22-300AA)
-
Isotype
- IgG
-
-
-
-
Indications d'application
- Optimal working dilution should be determined by the investigator.
-
Restrictions
- For Research Use only
-
-
-
Format
- Liquid
-
Buffer
-
Preservative: 0.03 % Proclin 300
Constituents: 50 % Glycerol, 0.01M PBS, PH 7.4 -
Agent conservateur
- ProClin
-
Précaution d'utilisation
- This product contains ProClin: a POISONOUS AND HAZARDOUS SUBSTANCE which should be handled by trained staff only.
-
Stock
- -20 °C,-80 °C
-
Stockage commentaire
- Upon receipt, store at -20°C or -80°C. Avoid repeated freeze.
-
-
- EDEM2 (ER Degradation Enhancer, Mannosidase alpha-Like 2 (EDEM2))
-
Autre désignation
- EDEM2
-
Sujet
-
Background: Initiates the endoplasmic reticulum-associated degradation (ERAD) that targets misfolded glycoproteins for degradation in an N-glycan-dependent manner. Catalyzes the first mannose trimming step, from Man9GlcNAc2 to Man8GlcNAc2 (PubMed:25092655). Extracts misfolded glycoproteins, but not glycoproteins undergoing productive folding, from the calnexin cycle.
Aliases: bA4204.1 antibody, C20orf31 antibody, C20orf49 antibody, EDEM 2 antibody, EDEM2 antibody, EDEM2_HUMAN antibody, ER degradation enhancer mannosidase alpha like 2 antibody, ER degradation enhancing alpha mannosidase like 2 antibody, ER degradation enhancing alpha mannosidase like protein 2 antibody, ER degradation enhancing mannosidase like protein 2 antibody, ER degradation-enhancing alpha-mannosidase-like 2 antibody, FLJ10783 antibody, UNQ573/PRO1135 antibody
-
UniProt
- Q9BV94
Antigène
-