Tel:
+49 (0)241 95 163 153
Fax:
+49 (0)241 95 163 155
E-Mail:
orders@anticorps-enligne.fr

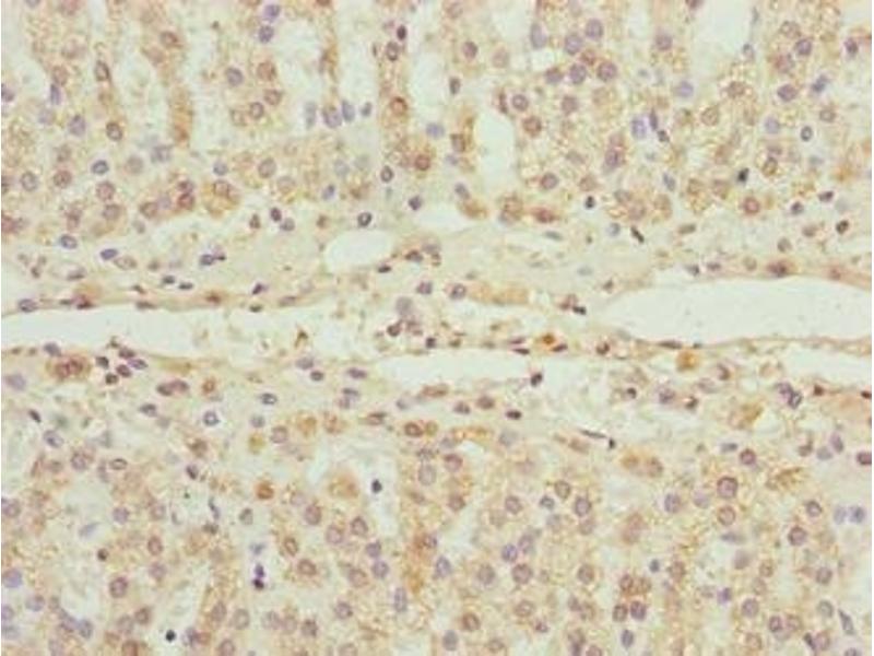
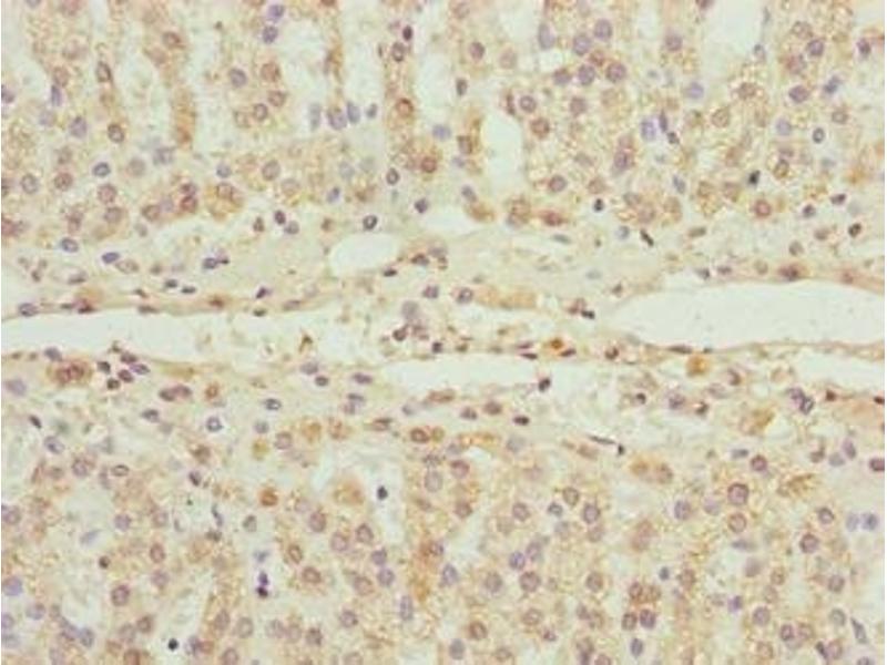
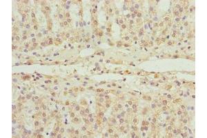
FAD Synthetase anticorps (AA 1-490)

Cet anticorps Lapin Polyclonal détecte spécifiquement FAD Synthetase dans WB, ELISA et IHC. Il présente une réactivité avec des échantillons de Humain.
N° du produit ABIN7152521
328,90 €
Plus frais de livraison 40,00 € et TVA
Destination: France
Envoi sous 11 à 15 jours ouvrables

Aperçu rapide pour FAD Synthetase anticorps (AA 1-490) (ABIN7152521)

Antigène

FAD Synthetase

Reactivité

  • 21
  • 5
  • 4
  • 2
  • 2
  • 2
  • 2
  • 2
  • 1
  • 1
  • 1
  • 1
Humain

Hôte

  • 21
Lapin

Clonalité

  • 21
Polyclonal

Conjugué

  • 12
  • 3
  • 2
  • 2
  • 1
  • 1
Cet anticorp FAD Synthetase est non-conjugé

Application

  • 17
  • 12
  • 1
  • 1
  • 1
  • 1
  • 1
  • 1
  • 1
Western Blotting (WB), ELISA, Immunohistochemistry (IHC)
  • Épitope

    • 8
    • 4
    • 3
    • 2
    • 1
    • 1
    • 1
    • 1
    AA 1-490

    Fonction

    FLAD1 Antibody

    Purification

    Protein G purified

    Pureté

    >95 %

    Immunogène

    Recombinant Human FAD synthase protein (1-490AA)

    Isotype

    IgG
  • Indications d'application

    Optimal working dilution should be determined by the investigator.

    Restrictions

    For Research Use only
  • Format

    Liquid

    Buffer

    Preservative: 0.03 % Proclin 300
    Constituents: 50 % Glycerol, 0.01M PBS, PH 7.4

    Agent conservateur

    ProClin

    Précaution d'utilisation

    This product contains ProClin: a POISONOUS AND HAZARDOUS SUBSTANCE which should be handled by trained staff only.

    Stock

    -20 °C,-80 °C

    Stockage commentaire

    Upon receipt, store at -20°C or -80°C. Avoid repeated freeze.
  • Antigène

    FAD Synthetase

    Autre désignation

    FLAD1

    Sujet

    Background: Catalyzes the adenylation of flavin mononucleotide (FMN) to form flavin adenine dinucleotide (FAD) coenzyme.

    Aliases: FLAD1 antibody, PP591FAD synthase antibody, EC 2.7.7.2 antibody, FAD pyrophosphorylase antibody, FMN adenylyltransferase antibody, Flavin adenine dinucleotide synthase) [Includes: Molybdenum cofactor biosynthesis protein-like region, FAD synthase region] antibody

    UniProt

    Q8NFF5
Vous êtes ici:
Chat with us!