FRMD5 anticorps (AA 295-504)
Aperçu rapide pour FRMD5 anticorps (AA 295-504) (ABIN7152681)
Antigène
Reactivité
Hôte
Clonalité
Conjugué
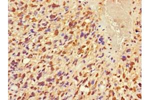
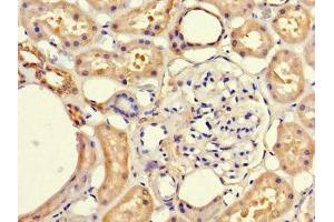
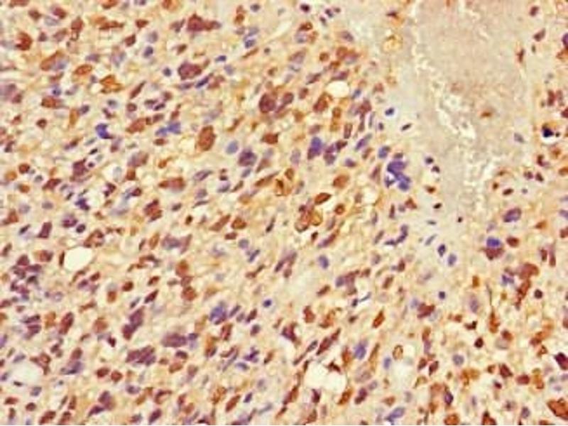
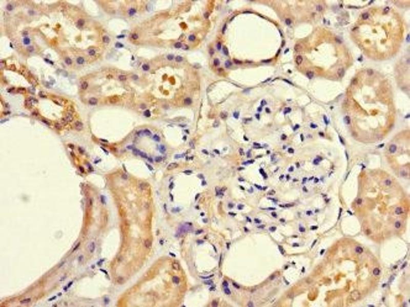
Application
-
-
Épitope
- AA 295-504
-
Fonction
- FRMD5 Antibody
-
Réactivité croisée
- Souris
-
Purification
- Protein G purified
-
Pureté
- >95 %
-
Immunogène
- Recombinant Human FERM domain-containing protein 5 protein (295-504AA)
-
Isotype
- IgG
-
-
-
-
Indications d'application
- Optimal working dilution should be determined by the investigator.
-
Restrictions
- For Research Use only
-
-
-
Format
- Liquid
-
Buffer
-
Preservative: 0.03 % Proclin 300
Constituents: 50 % Glycerol, 0.01M PBS, PH 7.4 -
Agent conservateur
- ProClin
-
Précaution d'utilisation
- This product contains ProClin: a POISONOUS AND HAZARDOUS SUBSTANCE which should be handled by trained staff only.
-
Stock
- -20 °C,-80 °C
-
Stockage commentaire
- Upon receipt, store at -20°C or -80°C. Avoid repeated freeze.
-
-
- FRMD5 (FERM Domain Containing 5 (FRMD5))
-
Autre désignation
- FRMD5
-
Sujet
- FERM domain containing 5 antibody, FERM domain-containing protein 5 antibody, FLJ41022 antibody, FRMD5 antibody, FRMD5_HUMAN antibody, MGC14161 antibody
-
UniProt
- Q7Z6J6
Antigène
-