Tel:
+49 (0)241 95 163 153
Fax:
+49 (0)241 95 163 155
E-Mail:
orders@anticorps-enligne.fr

FTL anticorps

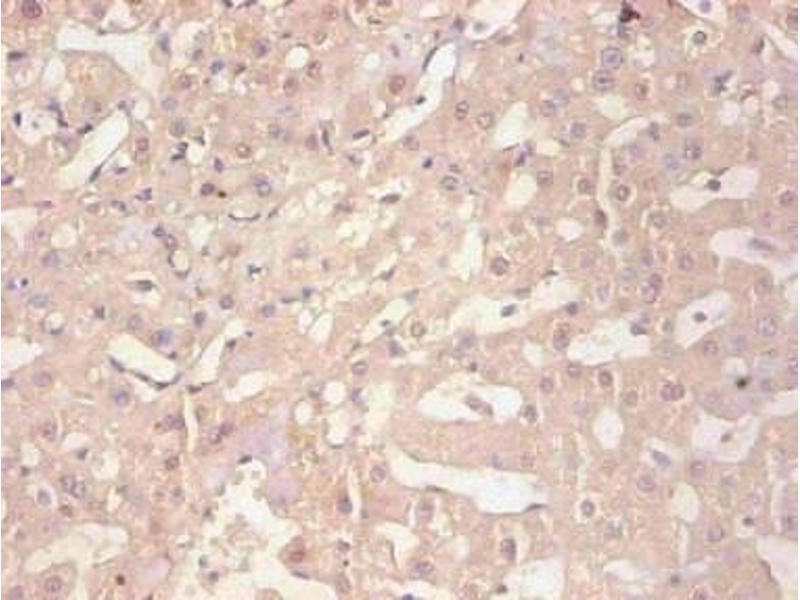
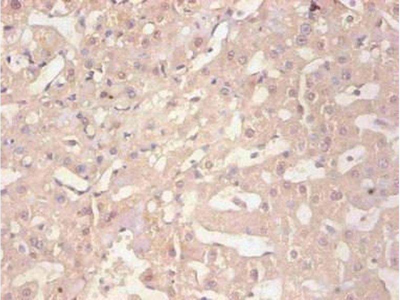
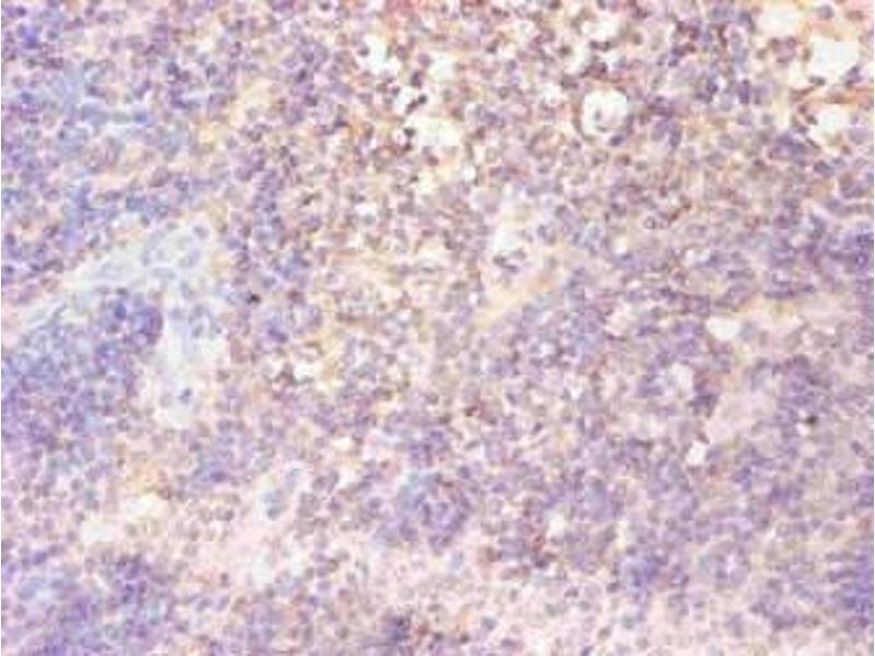
Cet anticorps anti-FTL Monoclonal Souris (Clone 1A2C5) (ABIN7152718) détecte spécifiquement FTL dans IHC et ELISA. L’anticorps est réactif avec des échantillons de Humain.
N° du produit ABIN7152718
385,00 €
Plus frais de livraison 40,00 € et TVA
Destination: France
Envoi sous 11 à 15 jours ouvrables

Aperçu rapide pour FTL anticorps (ABIN7152718)

Antigène

Voir toutes FTL Anticorps
FTL (Ferritin, Light Polypeptide (FTL))

Reactivité

  • 155
  • 40
  • 35
  • 8
  • 2
  • 1
  • 1
  • 1
  • 1
  • 1
Humain

Hôte

  • 82
  • 81
  • 2
Souris

Clonalité

  • 106
  • 59
Monoclonal

Conjugué

  • 65
  • 17
  • 7
  • 6
  • 6
  • 6
  • 6
  • 6
  • 6
  • 5
  • 4
  • 3
  • 3
  • 3
  • 3
  • 3
  • 3
  • 1
  • 1
  • 1
  • 1
  • 1
  • 1
  • 1
  • 1
  • 1
  • 1
  • 1
  • 1
  • 1
Cet anticorp FTL est non-conjugé

Application

  • 106
  • 97
  • 42
  • 39
  • 33
  • 29
  • 20
  • 13
  • 13
  • 11
  • 4
  • 4
  • 3
  • 3
  • 2
  • 2
  • 1
  • 1
Immunohistochemistry (IHC), ELISA

Clone

1A2C5
  • Fonction

    FTL Monoclonal Antibody

    Purification

    Protein G purified

    Pureté

    >95 %

    Immunogène

    Recombinant Human Ferritin light chain

    Isotype

    IgG2b
  • Indications d'application

    Optimal working dilution should be determined by the investigator.

    Restrictions

    For Research Use only
  • Format

    Liquid

    Buffer

    Preservative: 0.03 % Proclin 300
    Constituents: 50 % Glycerol, 0.01M PBS, PH 7.4

    Agent conservateur

    ProClin

    Précaution d'utilisation

    This product contains ProClin: a POISONOUS AND HAZARDOUS SUBSTANCE which should be handled by trained staff only.

    Stock

    -20 °C,-80 °C

    Stockage commentaire

    Upon receipt, store at -20°C or -80°C. Avoid repeated freeze.
  • Antigène

    FTL (Ferritin, Light Polypeptide (FTL))

    Autre désignation

    FTL

    Sujet

    Background: Stores iron in a soluble, non-toxic, readily available form. Important for iron homeostasis. Iron is taken up in the ferrous form and deposited as ferric hydroxides after oxidation. Also plays a role in delivery of iron to cells. Mediates iron uptake in capsule cells of the developing kidney.

    Aliases: FTL,Ferritin L subunit

    UniProt

    P02792

    Pathways

    Transition Metal Ion Homeostasis
Vous êtes ici:
Chat with us!