Tel:
+49 (0)241 95 163 153
Fax:
+49 (0)241 95 163 155
E-Mail:
orders@anticorps-enligne.fr

FHL3 anticorps (AA 1-280)

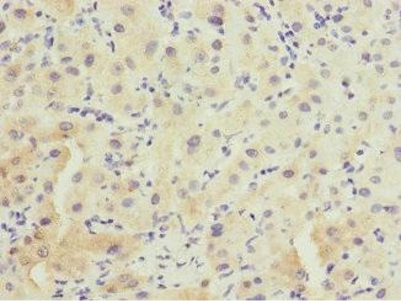
L’anticorps anti-FHL3 Polyclonal Lapin est utilisé pour la détection de FHL3 dans des échantillons de Humain. Il a été validé pour ELISA et IHC.
N° du produit ABIN7153137
328,90 €
Plus frais de livraison 40,00 € et TVA
Destination: France
Envoi sous 11 à 15 jours ouvrables

Aperçu rapide pour FHL3 anticorps (AA 1-280) (ABIN7153137)

Antigène

Voir toutes FHL3 Anticorps
FHL3 (Four and A Half LIM Domains 3 (FHL3))

Reactivité

  • 20
  • 14
  • 6
  • 2
  • 2
  • 2
  • 1
  • 1
  • 1
  • 1
  • 1
  • 1
  • 1
Humain

Hôte

  • 17
  • 2
  • 1
Lapin

Clonalité

  • 19
  • 1
Polyclonal

Conjugué

  • 13
  • 1
  • 1
  • 1
  • 1
  • 1
  • 1
  • 1
Cet anticorp FHL3 est non-conjugé

Application

  • 13
  • 7
  • 3
  • 1
  • 1
ELISA, Immunohistochemistry (IHC)
  • Épitope

    • 2
    • 2
    • 2
    • 2
    • 1
    • 1
    • 1
    AA 1-280

    Fonction

    FHL3 Antibody

    Purification

    Antigen Affinity Purified

    Immunogène

    Recombinant Human Four and a half LIM domains protein 3 protein (1-280AA)

    Isotype

    IgG
  • Indications d'application

    Optimal working dilution should be determined by the investigator.

    Restrictions

    For Research Use only
  • Format

    Liquid

    Buffer

    PBS with 0.02 % sodium azide, 50 % glycerol, pH 7.3.

    Agent conservateur

    Sodium azide

    Précaution d'utilisation

    This product contains Sodium azide: a POISONOUS AND HAZARDOUS SUBSTANCE which should be handled by trained staff only.

    Stock

    -20 °C,-80 °C

    Stockage commentaire

    Upon receipt, store at -20°C or -80°C. Avoid repeated freeze.
  • Antigène

    FHL3 (Four and A Half LIM Domains 3 (FHL3))

    Autre désignation

    FHL3

    Sujet

    Background: focal adhesion, muscle organ development

    Aliases: FHL 3 antibody, FHL-3 antibody, Fhl3 antibody, FHL3_HUMAN antibody, Four and a half LIM domains 3 antibody, Four and a half LIM domains protein 3 antibody, Skeletal muscle LIM protein 2 antibody, Skeletal muscle LIM-protein 2 antibody, SLIM-2 antibody, SLIM2 antibody

    UniProt

    Q13643
Vous êtes ici:
Chat with us!