MLZE anticorps (AA 1-508)
Aperçu rapide pour MLZE anticorps (AA 1-508) (ABIN7153655)
Antigène
Voir toutes MLZE AnticorpsReactivité
Hôte
Clonalité
Conjugué
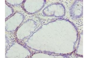
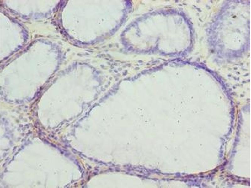
Application
-
-
Épitope
- AA 1-508
-
Fonction
- GSDMC Antibody
-
Purification
- Protein G purified
-
Pureté
- >95 %
-
Immunogène
- Recombinant Human Gasdermin-C protein (1-508AA)
-
Isotype
- IgG
-
-
-
-
Indications d'application
- Optimal working dilution should be determined by the investigator.
-
Restrictions
- For Research Use only
-
-
-
Format
- Liquid
-
Buffer
-
Preservative: 0.03 % Proclin 300
Constituents: 50 % Glycerol, 0.01M PBS, PH 7.4 -
Agent conservateur
- ProClin
-
Précaution d'utilisation
- This product contains ProClin: a POISONOUS AND HAZARDOUS SUBSTANCE which should be handled by trained staff only.
-
Stock
- -20 °C,-80 °C
-
Stockage commentaire
- Upon receipt, store at -20°C or -80°C. Avoid repeated freeze.
-
-
- MLZE (Melanomaderived Leucine Zipper Extra-Nuclear Factor (MLZE))
-
Autre désignation
- GSDMC
-
Sujet
-
Background: cytoplasm, microtubule organizing center, mitochondrion
Aliases: Gasdermin C antibody, Gasdermin-C antibody, GSDMC antibody, GSDMC_HUMAN antibody, Melanoma derived leucine zipper, extra nuclear factor antibody, Melanoma-derived leucine zipper-containing extranuclear factor antibody, MLZE antibody
-
UniProt
- Q9BYG8
Antigène
-