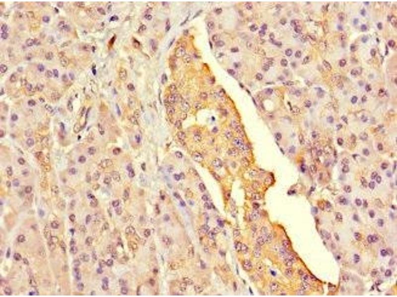
G6PC2 anticorps (AA 78-115)
Aperçu rapide pour G6PC2 anticorps (AA 78-115) (ABIN7153908)
Antigène
Reactivité
Hôte
Clonalité
Conjugué
Application
-
-
Épitope
- AA 78-115
-
Fonction
- G6PC2 Antibody
-
Purification
- Protein G purified
-
Pureté
- >95 %
-
Immunogène
- Recombinant Human Glucose-6-phosphatase 2 protein (78-115AA)
-
Isotype
- IgG
-
-
-
-
Indications d'application
- Optimal working dilution should be determined by the investigator.
-
Restrictions
- For Research Use only
-
-
-
Format
- Liquid
-
Buffer
-
Preservative: 0.03 % Proclin 300
Constituents: 50 % Glycerol, 0.01M PBS, PH 7.4 -
Agent conservateur
- ProClin
-
Précaution d'utilisation
- This product contains ProClin: a POISONOUS AND HAZARDOUS SUBSTANCE which should be handled by trained staff only.
-
Stock
- -20 °C,-80 °C
-
Stockage commentaire
- Upon receipt, store at -20°C or -80°C. Avoid repeated freeze.
-
-
- G6PC2 (Glucose-6-Phosphatase, Catalytic, 2 (G6PC2))
-
Autre désignation
- G6PC2
-
Sujet
-
Background: May hydrolyze glucose-6-phosphate to glucose in the endoplasmic reticulum. May be responsible for glucose production through glycogenolysis and gluconeogenesis (By similarity).
Aliases: G6PC2 antibody, IGRPGlucose-6-phosphatase 2 antibody, G-6-Pase 2 antibody, G6Pase 2 antibody, EC 3.1.3.9 antibody, Islet-specific glucose-6-phosphatase catalytic subunit-related protein antibody
-
UniProt
- Q9NQR9
Antigène
-