Tel:
+49 (0)241 95 163 153
Fax:
+49 (0)241 95 163 155
E-Mail:
orders@anticorps-enligne.fr

PGP anticorps (AA 140-300)

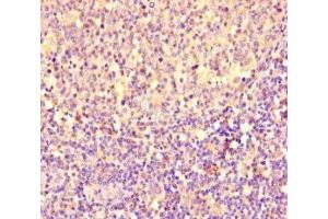
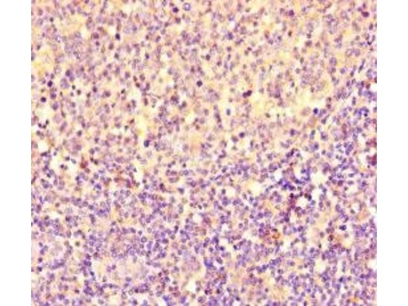
Cet anticorps Lapin Polyclonal détecte spécifiquement PGP dans IHC, ELISA et IF. Il présente une réactivité avec des échantillons de Humain.
N° du produit ABIN7154168
328,90 €
Plus frais de livraison 40,00 € et TVA
Destination: France
Envoi sous 11 à 15 jours ouvrables

Aperçu rapide pour PGP anticorps (AA 140-300) (ABIN7154168)

Antigène

Voir toutes PGP Anticorps
PGP (Phosphoglycolate Phosphatase (PGP))

Reactivité

  • 39
  • 14
  • 11
  • 1
  • 1
  • 1
  • 1
  • 1
Humain

Hôte

  • 32
  • 10
Lapin

Clonalité

  • 33
  • 9
Polyclonal

Conjugué

  • 21
  • 4
  • 4
  • 2
  • 2
  • 2
  • 1
  • 1
  • 1
  • 1
  • 1
  • 1
  • 1
Cet anticorp PGP est non-conjugé

Application

  • 24
  • 20
  • 15
  • 14
  • 11
  • 7
  • 5
  • 2
  • 2
  • 1
Immunohistochemistry (IHC), ELISA, Immunofluorescence (IF)
  • Épitope

    • 8
    • 7
    • 4
    • 3
    • 2
    • 2
    • 1
    • 1
    • 1
    • 1
    • 1
    • 1
    • 1
    AA 140-300

    Fonction

    PGP Antibody

    Purification

    Protein G purified

    Pureté

    >95 %

    Immunogène

    Recombinant Human Glycerol-3-phosphate phosphatase protein (140-300AA)

    Isotype

    IgG
  • Indications d'application

    Optimal working dilution should be determined by the investigator.

    Restrictions

    For Research Use only
  • Format

    Liquid

    Buffer

    Preservative: 0.03 % Proclin 300
    Constituents: 50 % Glycerol, 0.01M PBS, PH 7.4

    Agent conservateur

    ProClin

    Précaution d'utilisation

    This product contains ProClin: a POISONOUS AND HAZARDOUS SUBSTANCE which should be handled by trained staff only.

    Stock

    -20 °C,-80 °C

    Stockage commentaire

    Upon receipt, store at -20°C or -80°C. Avoid repeated freeze.
  • Antigène

    PGP (Phosphoglycolate Phosphatase (PGP))

    Autre désignation

    PGP

    Sujet

    Background: Glycerol-3-phosphate phosphatase hydrolyzing glycerol-3-phosphate into glycerol. Thereby, regulates the cellular levels of glycerol-3-phosphate a metabolic intermediate of glucose, lipid and energy metabolism. Was also shown to have a 2-phosphoglycolate phosphatase activity and a tyrosine-protein phosphatase activity. However, their physiological relevance is unclear (PubMed:26755581). In vitro, has also a phosphatase activity toward ADP, ATP, GDP and GTP (By similarity).

    Aliases: PGP antibody, PGP_HUMAN antibody, PGPase antibody, Phosphoglycolate phosphatase antibody

    UniProt

    A6NDG6
Vous êtes ici:
Chat with us!