Tel:
+49 (0)241 95 163 153
Fax:
+49 (0)241 95 163 155
E-Mail:
orders@anticorps-enligne.fr

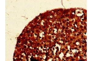
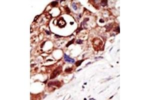
PIGK anticorps (AA 91-293)

Cet anticorps Lapin Polyclonal détecte spécifiquement PIGK dans WB, ELISA et IHC. Il présente une réactivité avec des échantillons de Humain.
N° du produit ABIN7154360
328,90 €
Plus frais de livraison 40,00 € et TVA
Destination: France
Envoi sous 11 à 15 jours ouvrables

Aperçu rapide pour PIGK anticorps (AA 91-293) (ABIN7154360)

Antigène

Voir toutes PIGK (GPI8) Anticorps
PIGK (GPI8) (GPI-anchor transamidase (GPI8))

Reactivité

  • 29
  • 13
  • 4
  • 3
  • 3
  • 2
  • 2
  • 2
  • 2
  • 1
  • 1
  • 1
  • 1
  • 1
Humain

Hôte

  • 29
Lapin

Clonalité

  • 29
Polyclonal

Conjugué

  • 15
  • 4
  • 3
  • 3
  • 2
  • 2
Cet anticorp PIGK est non-conjugé

Application

  • 24
  • 20
  • 15
  • 4
  • 1
Western Blotting (WB), ELISA, Immunohistochemistry (IHC)
  • Épitope

    • 7
    • 7
    • 5
    • 4
    • 2
    • 1
    • 1
    AA 91-293

    Fonction

    PIGK Antibody

    Purification

    Protein G purified

    Pureté

    >95 %

    Immunogène

    Recombinant Human GPI-anchor transamidase protein (91-293AA)

    Isotype

    IgG
  • Indications d'application

    Optimal working dilution should be determined by the investigator.

    Restrictions

    For Research Use only
  • Format

    Liquid

    Buffer

    Preservative: 0.03 % Proclin 300
    Constituents: 50 % Glycerol, 0.01M PBS, pH 7.4

    Agent conservateur

    ProClin

    Précaution d'utilisation

    This product contains ProClin: a POISONOUS AND HAZARDOUS SUBSTANCE which should be handled by trained staff only.

    Stock

    -20 °C,-80 °C

    Stockage commentaire

    Upon receipt, store at -20°C or -80°C. Avoid repeated freeze.
  • Antigène

    PIGK (GPI8) (GPI-anchor transamidase (GPI8))

    Autre désignation

    PIGK

    Sujet

    Background: Mediates GPI anchoring in the endoplasmic reticulum, by replacing a protein\\\'s C-terminal GPI attachment signal peptide with a pre-assembled GPI. During this transamidation reaction, the GPI transamidase forms a carbonyl intermediate with the substrate protein.

    Aliases: PIGK antibody, GPI8 antibody, GPI-anchor transamidase antibody, GPI transamidase antibody, EC 3.-.-.- antibody, GPI8 homolog antibody, hGPI8 antibody, Phosphatidylinositol-glycan biosynthesis class K protein antibody, PIG-K antibody

    UniProt

    Q92643
Vous êtes ici:
Chat with us!