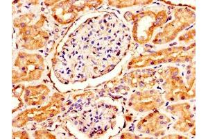
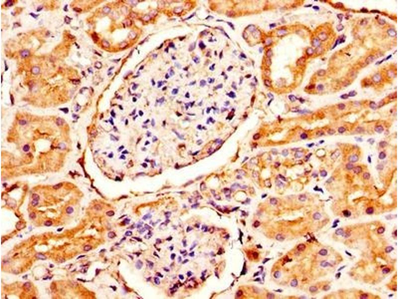
GUCA2B anticorps (AA 37-112)
Aperçu rapide pour GUCA2B anticorps (AA 37-112) (ABIN7154765)
Antigène
Voir toutes GUCA2B AnticorpsReactivité
Hôte
Clonalité
Conjugué
Application
-
-
Épitope
- AA 37-112
-
Fonction
- GUCA2B Antibody
-
Purification
- Protein G purified
-
Pureté
- >95 %
-
Immunogène
- Recombinant Human Guanylate cyclase activator 2B protein (37-112AA)
-
Isotype
- IgG
-
-
-
-
Indications d'application
- Optimal working dilution should be determined by the investigator.
-
Restrictions
- For Research Use only
-
-
-
Format
- Liquid
-
Buffer
-
Preservative: 0.03 % Proclin 300
Constituents: 50 % Glycerol, 0.01M PBS, PH 7.4 -
Agent conservateur
- ProClin
-
Précaution d'utilisation
- This product contains ProClin: a POISONOUS AND HAZARDOUS SUBSTANCE which should be handled by trained staff only.
-
Stock
- -20 °C,-80 °C
-
Stockage commentaire
- Upon receipt, store at -20°C or -80°C. Avoid repeated freeze.
-
-
- GUCA2B (Guanylate Cyclase Activator 2B (Uroguanylin) (GUCA2B))
-
Autre désignation
- GUCA2B
-
Sujet
-
Background: Endogenous activator of intestinal guanylate cyclase. It stimulates this enzyme through the same receptor binding region as the heat-stable enterotoxins. May be a potent physiological regulator of intestinal fluid and electrolyte transport. May be an autocrine/paracrine regulator of intestinal salt and water transport.
Aliases: GUCA2B antibody, GCAP II antibody, GCAP-II antibody, Guanylate cyclase activator 2B (uroguanylin) antibody, Guanylate cyclase activator 2B antibody, Guanylate cyclase C-activating peptide II antibody, GUC2B_HUMAN antibody, GUCA2B antibody, UGN antibody, Uroguanylin antibody
-
UniProt
- Q16661
Antigène
-