Tel:
+49 (0)241 95 163 153
Fax:
+49 (0)241 95 163 155
E-Mail:
orders@anticorps-enligne.fr

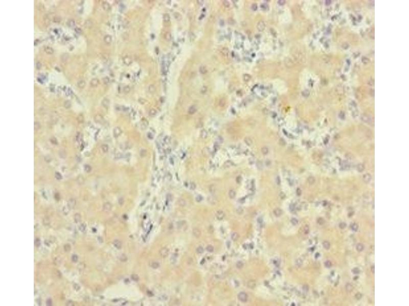
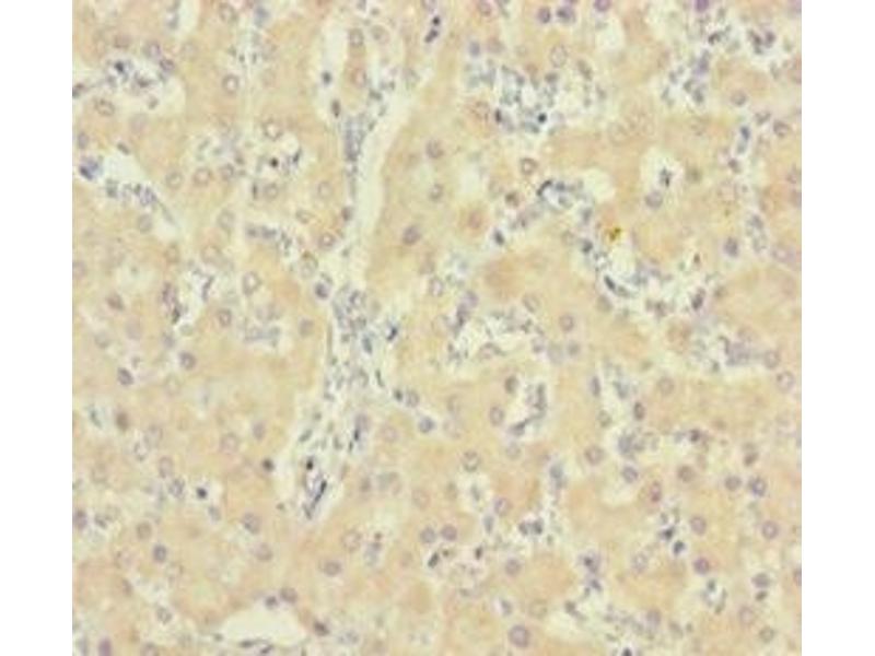
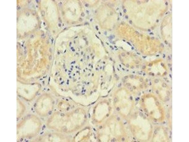
IDO2 anticorps (AA 1-407)

Cet anticorps Lapin Polyclonal détecte spécifiquement IDO2 dans ELISA, IHC et IF. Il présente une réactivité avec des échantillons de Humain.
N° du produit ABIN7156211
328,90 €
Plus frais de livraison 40,00 € et TVA
Destination: France
Envoi sous 11 à 15 jours ouvrables

Aperçu rapide pour IDO2 anticorps (AA 1-407) (ABIN7156211)

Antigène

Voir toutes IDO2 Anticorps
IDO2 (Indoleamine 2,3-Dioxygenase 2 (IDO2))

Reactivité

  • 55
  • 10
  • 8
  • 2
  • 2
  • 2
  • 2
  • 1
  • 1
Humain

Hôte

  • 58
  • 8
  • 1
Lapin

Clonalité

  • 59
  • 8
Polyclonal

Conjugué

  • 32
  • 8
  • 5
  • 3
  • 1
  • 1
  • 1
  • 1
  • 1
  • 1
  • 1
  • 1
  • 1
  • 1
  • 1
  • 1
  • 1
  • 1
  • 1
  • 1
  • 1
  • 1
  • 1
Cet anticorp IDO2 est non-conjugé

Application

  • 55
  • 21
  • 20
  • 13
  • 13
  • 8
  • 7
  • 5
  • 3
  • 2
  • 2
  • 1
  • 1
  • 1
  • 1
  • 1
ELISA, Immunohistochemistry (IHC), Immunofluorescence (IF)
  • Épitope

    • 15
    • 8
    • 5
    • 4
    • 3
    • 3
    • 3
    • 2
    • 2
    • 1
    • 1
    • 1
    • 1
    • 1
    • 1
    • 1
    AA 1-407

    Fonction

    IDO2 Antibody

    Purification

    Protein G purified

    Pureté

    >95 %

    Immunogène

    Recombinant Human Indoleamine 2,3-dioxygenase 2 protein (1-407AA)

    Isotype

    IgG
  • Indications d'application

    Optimal working dilution should be determined by the investigator.

    Restrictions

    For Research Use only
  • Format

    Liquid

    Buffer

    Preservative: 0.03 % Proclin 300
    Constituents: 50 % Glycerol, 0.01M PBS, PH 7.4

    Agent conservateur

    ProClin

    Précaution d'utilisation

    This product contains ProClin: a POISONOUS AND HAZARDOUS SUBSTANCE which should be handled by trained staff only.

    Stock

    -20 °C,-80 °C

    Stockage commentaire

    Upon receipt, store at -20°C or -80°C. Avoid repeated freeze.
  • Antigène

    IDO2 (Indoleamine 2,3-Dioxygenase 2 (IDO2))

    Autre désignation

    IDO2

    Sujet

    Background: Catalyzes the first and rate-limiting step in the kynurenine pathway of tryptophan catabolism.

    Aliases: 3-dioxygenase 2 antibody, 3-dioxygenase-like protein 1 antibody, EC 1.13.11. antibody, I23O2_HUMAN antibody, IDO 2 antibody, IDO-2 antibody, Ido2 antibody, INDOL 1 antibody, Indoleamine 2 antibody, Indoleamine 2,3 dioxygenase 2 antibody, Indoleamine 2,3 dioxygenase like 1 protein antibody, Indoleamine 2,3 dioxygenase like protein 1 antibody, Indoleamine pyrrole 2,3 dioxygenase like 1 antibody, Indoleamine pyrrole 2,3 dioxygenase like protein 1 antibody, Indoleamine-pyrrole 2 antibody

    UniProt

    Q6ZQW0
Vous êtes ici:
Chat with us!