Tel:
+49 (0)241 95 163 153
Fax:
+49 (0)241 95 163 155
E-Mail:
orders@anticorps-enligne.fr

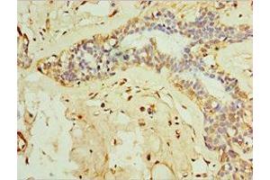
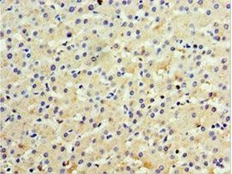
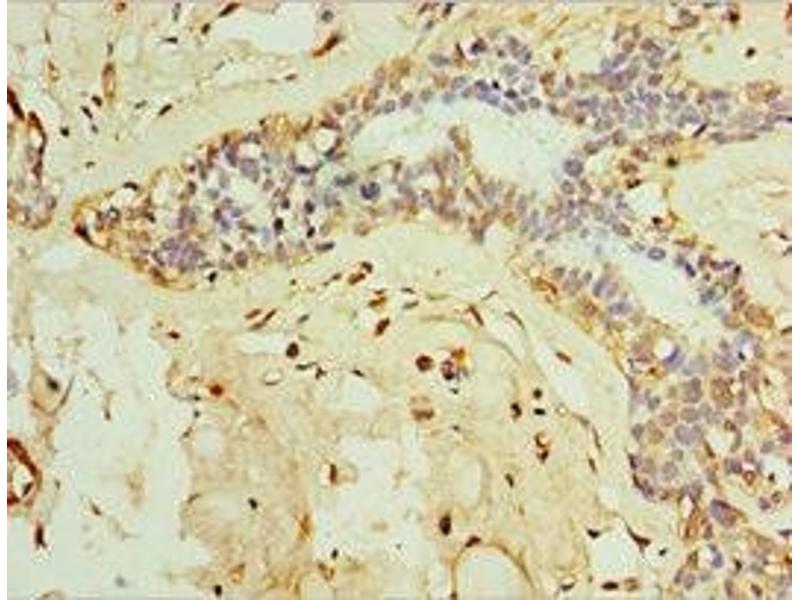
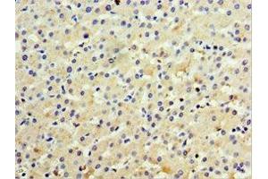
IL28B anticorps (AA 22-196)

Cet anticorps anti-IL28B Polyclonal Lapin (ABIN7156612) détecte spécifiquement IL28B dans ELISA et IHC. L’anticorps est réactif avec des échantillons de Humain.
N° du produit ABIN7156612
328,90 €
Plus frais de livraison 40,00 € et TVA
Destination: France
Envoi sous 11 à 15 jours ouvrables

Aperçu rapide pour IL28B anticorps (AA 22-196) (ABIN7156612)

Antigène

Voir toutes IL28B Anticorps
IL28B (Interleukin 28B (Interferon, lambda 3) (IL28B))

Reactivité

  • 36
  • 7
  • 3
  • 1
  • 1
  • 1
  • 1
Humain

Hôte

  • 30
  • 9
  • 1
Lapin

Clonalité

  • 30
  • 10
Polyclonal

Conjugué

  • 23
  • 3
  • 2
  • 2
  • 2
  • 1
  • 1
  • 1
  • 1
  • 1
  • 1
  • 1
  • 1
Cet anticorp IL28B est non-conjugé

Application

  • 26
  • 13
  • 7
  • 4
  • 3
  • 2
  • 1
  • 1
ELISA, Immunohistochemistry (IHC)
  • Épitope

    • 8
    • 3
    • 2
    • 2
    • 2
    • 2
    • 1
    • 1
    AA 22-196

    Fonction

    IFNL3 Antibody

    Purification

    Antigen Affinity Purified

    Immunogène

    Recombinant Human Interferon lambda-3 protein (22-196AA)

    Isotype

    IgG
  • Indications d'application

    Optimal working dilution should be determined by the investigator.

    Restrictions

    For Research Use only
  • Format

    Liquid

    Buffer

    PBS with 0.02 % sodium azide, 50 % glycerol, pH 7.3.

    Agent conservateur

    Sodium azide

    Précaution d'utilisation

    This product contains Sodium azide: a POISONOUS AND HAZARDOUS SUBSTANCE which should be handled by trained staff only.

    Stock

    -20 °C,-80 °C

    Stockage commentaire

    Upon receipt, store at -20°C or -80°C. Avoid repeated freeze.
  • Antigène

    IL28B (Interleukin 28B (Interferon, lambda 3) (IL28B))

    Autre désignation

    IFNL3

    Sujet

    Background: Cytokine with antiviral, antitumour and immunomodulatory activities. Plays a critical role in the antiviral host defense, predominantly in the epithelial tissues. Acts as a ligand for the heterodimeric class II cytokine receptor composed of IL10RB and IFNLR1, and receptor engagement leads to the activation of the JAK/STAT signaling pathway resulting in the expression of IFN-stimulated genes (ISG), which mediate the antiviral state. Has a restricted receptor distribution and therefore restricted targets: is primarily active in epithelial cells and this cell type-selective action is because of the epithelial cell-specific expression of its receptor IFNLR1. Seems not to be essential for early virus-activated host defense in vaginal infection, but plays an important role in Toll-like receptor (TLR)-induced antiviral defense. Plays a significant role in the antiviral immune defense in the intestinal epithelium. Exerts an immunomodulatory effect by up-regulating MHC class I antigen expression.

    Aliases: Cytokine ZCYTO22 antibody, IFN-lambda-3 antibody, IFN-lambda-4 antibody, IL-28B antibody, IL-28C antibody, IL28B antibody, IL28B_HUMAN antibody, IL28C antibody, Interferon lambda-3 antibody, Interferon lambda-4 antibody, interleukin 28B (interferon, lambda 3) antibody, Interleukin 28C antibody, Interleukin-28B antibody, Interleukin-28C antibody

    UniProt

    Q8IZI9
Vous êtes ici:
Chat with us!