Tel:
+49 (0)241 95 163 153
Fax:
+49 (0)241 95 163 155
E-Mail:
orders@anticorps-enligne.fr

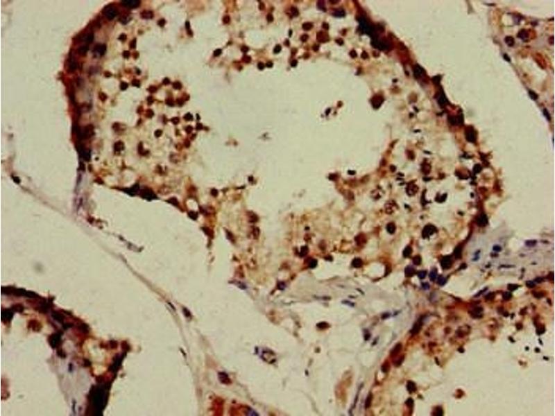
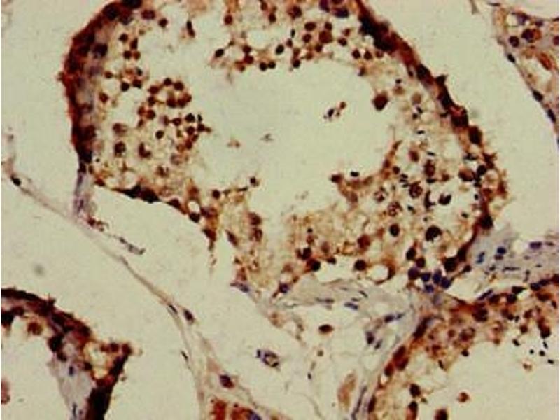
IZUMO1 anticorps (AA 22-292)

L’anticorps anti-IZUMO1 Polyclonal Lapin est utilisé pour la détection de IZUMO1 dans des échantillons de Humain. Il a été validé pour ELISA, IHC et IF.
N° du produit ABIN7157142
328,90 €
Plus frais de livraison 40,00 € et TVA
Destination: France
Envoi sous 11 à 15 jours ouvrables

Aperçu rapide pour IZUMO1 anticorps (AA 22-292) (ABIN7157142)

Antigène

Voir toutes IZUMO1 Anticorps
IZUMO1 (Izumo Sperm-Egg Fusion 1 (IZUMO1))

Reactivité

  • 22
  • 1
Humain

Hôte

  • 21
  • 1
Lapin

Clonalité

  • 20
  • 1
Polyclonal

Conjugué

  • 12
  • 4
  • 2
  • 2
  • 1
  • 1
Cet anticorp IZUMO1 est non-conjugé

Application

  • 18
  • 15
  • 1
  • 1
  • 1
  • 1
ELISA, Immunohistochemistry (IHC), Immunofluorescence (IF)
  • Épitope

    • 8
    • 4
    • 3
    • 3
    • 2
    • 2
    • 1
    AA 22-292

    Fonction

    IZUMO1 Antibody

    Purification

    Protein G purified

    Pureté

    >95 %

    Immunogène

    Recombinant Human Izumo sperm-egg fusion protein 1 protein (22-292AA)

    Isotype

    IgG
  • Indications d'application

    Optimal working dilution should be determined by the investigator.

    Restrictions

    For Research Use only
  • Format

    Liquid

    Buffer

    Preservative: 0.03 % Proclin 300
    Constituents: 50 % Glycerol, 0.01M PBS, PH 7.4

    Agent conservateur

    ProClin

    Précaution d'utilisation

    This product contains ProClin: a POISONOUS AND HAZARDOUS SUBSTANCE which should be handled by trained staff only.

    Stock

    -20 °C,-80 °C

    Stockage commentaire

    Upon receipt, store at -20°C or -80°C. Avoid repeated freeze.
  • Antigène

    IZUMO1 (Izumo Sperm-Egg Fusion 1 (IZUMO1))

    Autre désignation

    IZUMO1

    Sujet

    Background: Essential sperm cell-surface protein required for fertilization by acting as a ligand for IZUMO1R/JUNO receptor on egg. The IZUMO1:IZUMO1R/JUNO interaction is a necessary adhesion event between sperm and egg that is required for fertilization but is not sufficient for cell fusion. The ligand-receptor interaction probably does not act as a membrane \'fusogen\'.

    Aliases: FLJ61440 antibody, IZUM1_HUMAN antibody, IZUMO antibody, Izumo sperm egg fusion 1 antibody, Izumo sperm-egg fusion protein 1 antibody, Izumo1 antibody, MGC34799 antibody, OBF antibody, Oocyte binding/fusion factor antibody, Sperm specific protein izumo antibody, Sperm-specific protein izumo antibody

    UniProt

    Q8IYV9
Vous êtes ici:
Chat with us!