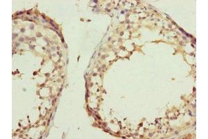
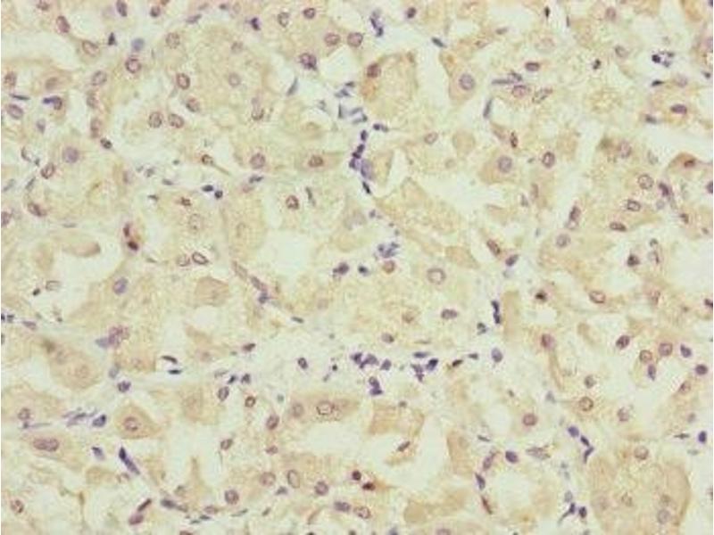
KANSL3 anticorps (AA 1-200)
Aperçu rapide pour KANSL3 anticorps (AA 1-200) (ABIN7157234)
Antigène
Voir toutes KANSL3 AnticorpsReactivité
Hôte
Clonalité
Conjugué
Application
-
-
Épitope
- AA 1-200
-
Fonction
- KANSL3 Antibody
-
Purification
- Antigen Affinity Purified
-
Immunogène
- Recombinant Human KAT8 regulatory NSL complex subunit 3 protein (1-200AA)
-
Isotype
- IgG
-
-
-
-
Indications d'application
- Optimal working dilution should be determined by the investigator.
-
Restrictions
- For Research Use only
-
-
-
Format
- Liquid
-
Buffer
- PBS with 0.02 % sodium azide, 50 % glycerol, pH 7.3.
-
Agent conservateur
- Sodium azide
-
Précaution d'utilisation
- This product contains Sodium azide: a POISONOUS AND HAZARDOUS SUBSTANCE which should be handled by trained staff only.
-
Stock
- -20 °C,-80 °C
-
Stockage commentaire
- Upon receipt, store at -20°C or -80°C. Avoid repeated freeze.
-
-
- KANSL3 (KAT8 Regulatory NSL Complex Subunit 3 (KANSL3))
-
Autre désignation
- KANSL3
-
Sujet
-
Background: As part of the NSL complex it is involved in acetylation of nucleosomal histone H4 on several lysine residues and therefore may be involved in the regulation of transcription.
Aliases: K1310_HUMAN antibody, KAT8 regulatory NSL complex subunit 3 antibody, Kiaa1310 antibody, Non specific lethal 3 homolog antibody, NSL complex protein NSL3 antibody, NSL3 antibody, Rcd1 antibody, Serum inhibited-related protein antibody, Testis development protein PRTD antibody, Uncharacterized protein KIAA1310 antibody
-
UniProt
- Q9P2N6
Antigène
-