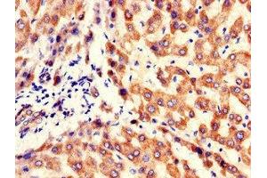
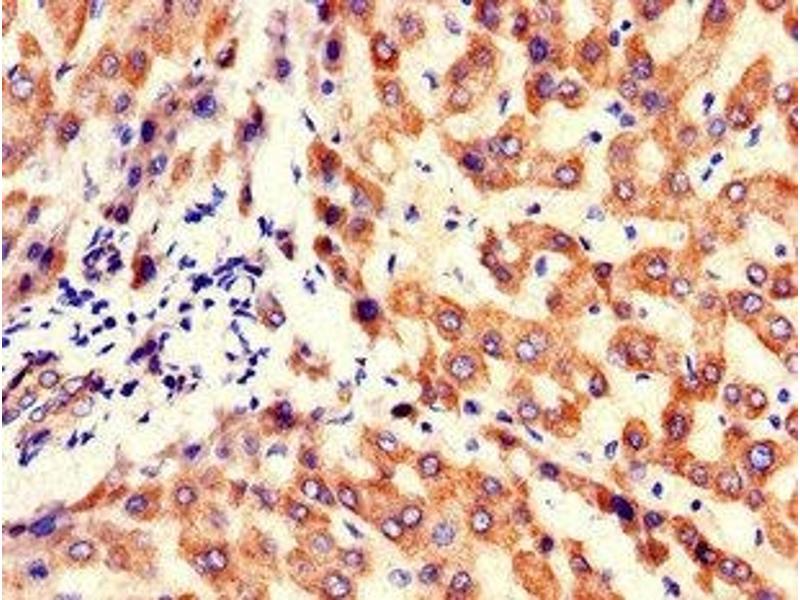
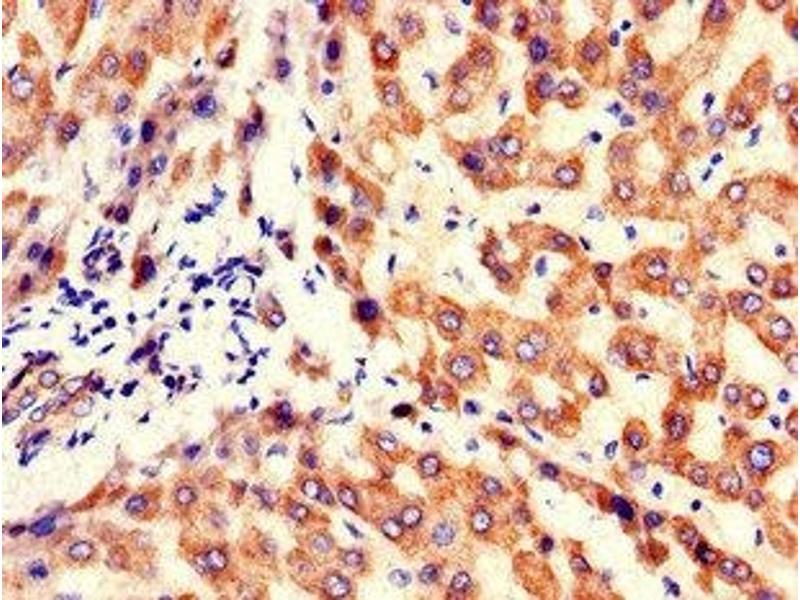
KBTBD6 anticorps (AA 1-139)
Aperçu rapide pour KBTBD6 anticorps (AA 1-139) (ABIN7157253)
Antigène
Reactivité
Hôte
Clonalité
Conjugué
Application
-
-
Épitope
- AA 1-139
-
Fonction
- KBTBD6 Antibody
-
Purification
- Protein G purified
-
Pureté
- >95 %
-
Immunogène
- Recombinant Human Kelch repeat and BTB domain-containing protein 6 protein (1-139AA)
-
Isotype
- IgG
-
-
-
-
Indications d'application
- Optimal working dilution should be determined by the investigator.
-
Restrictions
- For Research Use only
-
-
-
Format
- Liquid
-
Buffer
-
Preservative: 0.03 % Proclin 300
Constituents: 50 % Glycerol, 0.01M PBS, PH 7.4 -
Agent conservateur
- ProClin
-
Précaution d'utilisation
- This product contains ProClin: a POISONOUS AND HAZARDOUS SUBSTANCE which should be handled by trained staff only.
-
Stock
- -20 °C,-80 °C
-
Stockage commentaire
- Upon receipt, store at -20°C or -80°C. Avoid repeated freeze.
-
-
- KBTBD6 (Kelch Repeat and BTB (POZ) Domain Containing 6 (KBTBD6))
-
Autre désignation
- KBTBD6
-
Sujet
-
Background: Cul3-RING ubiquitin ligase complex
Aliases: KBTB6_HUMAN antibody, KBTBD6 antibody, Kelch repeat and BTB (POZ) domain containing 6 antibody, Kelch repeat and BTB domain-containing protein 6 antibody
-
UniProt
- Q86V97
Antigène
-