Tel:
+49 (0)241 95 163 153
Fax:
+49 (0)241 95 163 155
E-Mail:
orders@anticorps-enligne.fr

KRT40 anticorps (AA 1-200)

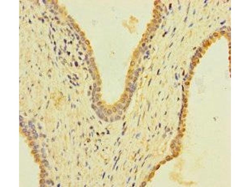
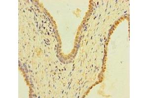
Cet anticorps anti-KRT40 Polyclonal Lapin (ABIN7157404) détecte spécifiquement KRT40 dans ELISA et IHC. L’anticorps est réactif avec des échantillons de Humain.
N° du produit ABIN7157404
328,90 €
Plus frais de livraison 40,00 € et TVA
Destination: France
Envoi sous 11 à 15 jours ouvrables

Aperçu rapide pour KRT40 anticorps (AA 1-200) (ABIN7157404)

Antigène

KRT40 (Keratin 40 (KRT40))

Reactivité

  • 19
  • 3
  • 3
Humain

Hôte

  • 18
  • 1
Lapin

Clonalité

  • 19
Polyclonal

Conjugué

  • 6
  • 3
  • 2
  • 2
  • 1
  • 1
  • 1
  • 1
  • 1
  • 1
Cet anticorp KRT40 est non-conjugé

Application

  • 9
  • 4
  • 3
  • 1
ELISA, Immunohistochemistry (IHC)
  • Épitope

    • 7
    • 1
    • 1
    AA 1-200

    Fonction

    KRT40 Antibody

    Purification

    Protein G purified

    Pureté

    >95 %

    Immunogène

    Recombinant Human Keratin, type I cytoskeletal 40 protein (1-200AA)

    Isotype

    IgG
  • Indications d'application

    Optimal working dilution should be determined by the investigator.

    Restrictions

    For Research Use only
  • Format

    Liquid

    Buffer

    Preservative: 0.03 % Proclin 300
    Constituents: 50 % Glycerol, 0.01M PBS, PH 7.4

    Agent conservateur

    ProClin

    Précaution d'utilisation

    This product contains ProClin: a POISONOUS AND HAZARDOUS SUBSTANCE which should be handled by trained staff only.

    Stock

    -20 °C,-80 °C

    Stockage commentaire

    Upon receipt, store at -20°C or -80°C. Avoid repeated freeze.
  • Antigène

    KRT40 (Keratin 40 (KRT40))

    Autre désignation

    KRT40

    Sujet

    Background: May play a role in late hair differentiation.

    Aliases: CK-40 antibody, Cytokeratin-40 antibody, hair cortex Cytokeratin antibody, K1C40_HUMAN antibody, K40 antibody, Keratin antibody, Keratin, type I cytoskeletal 40 antibody, Keratin-40 antibody, Krt40 antibody, type I cytoskeletal 40 antibody, Type I hair keratin Ka36 antibody

    UniProt

    Q6A162
Vous êtes ici:
Chat with us!