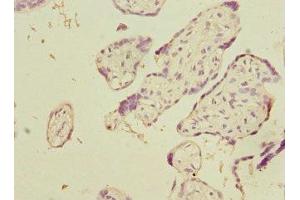
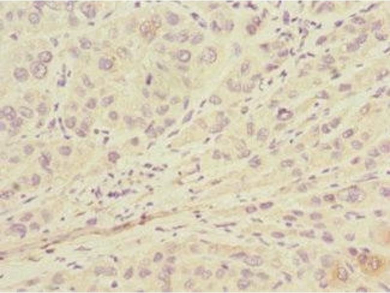
LSS anticorps (AA 1-300)
Aperçu rapide pour LSS anticorps (AA 1-300) (ABIN7157914)
Antigène
Voir toutes LSS AnticorpsReactivité
Hôte
Clonalité
Conjugué
Application
-
-
Épitope
- AA 1-300
-
Fonction
- LSS Antibody
-
Purification
- Antigen Affinity Purified
-
Immunogène
- Recombinant Human Lanosterol synthase protein (1-300AA)
-
Isotype
- IgG
-
-
-
-
Indications d'application
- Optimal working dilution should be determined by the investigator.
-
Restrictions
- For Research Use only
-
-
-
Format
- Liquid
-
Buffer
- PBS with 0.02 % sodium azide, 50 % glycerol, pH 7.3.
-
Agent conservateur
- Sodium azide
-
Précaution d'utilisation
- This product contains Sodium azide: a POISONOUS AND HAZARDOUS SUBSTANCE which should be handled by trained staff only.
-
Stock
- -20 °C,-80 °C
-
Stockage commentaire
- Upon receipt, store at -20°C or -80°C. Avoid repeated freeze.
-
-
- LSS (Lanosterol Synthase (2,3-Oxidosqualene-Lanosterol Cyclase) (LSS))
-
Autre désignation
- LSS
-
Sujet
-
Background: Catalyzes the cyclization of (S)-2,3 oxidosqualene to lanosterol, a reaction that forms the sterol nucleus. Through the production of lanosterol may regulate lens protein aggregation and increase transparency.
Aliases: LSS antibody, OSCLanosterol synthase antibody, EC 5.4.99.7 antibody, 2,3-epoxysqualene--lanosterol cyclase antibody, Oxidosqualene--lanosterol cyclase antibody, OSC antibody, hOSC antibody
-
UniProt
- P48449
Antigène
-