Tel:
+49 (0)241 95 163 153
Fax:
+49 (0)241 95 163 155
E-Mail:
orders@anticorps-enligne.fr

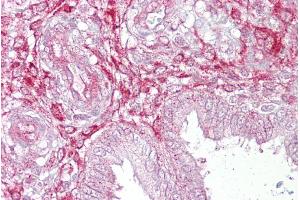
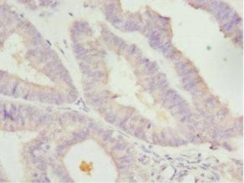
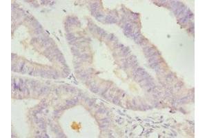
LEFTY2 anticorps (AA 57-366)

L’anticorps anti-LEFTY2 Polyclonal Lapin est utilisé pour la détection de LEFTY2 dans des échantillons de Humain. Il a été validé pour WB, IHC et ELISA.
N° du produit ABIN7157970
328,90 €
Plus frais de livraison 40,00 € et TVA
Destination: France
Envoi sous 11 à 15 jours ouvrables

Aperçu rapide pour LEFTY2 anticorps (AA 57-366) (ABIN7157970)

Antigène

Voir toutes LEFTY2 Anticorps
LEFTY2 (Left-Right Determination Factor 2 (LEFTY2))

Reactivité

  • 45
  • 25
  • 22
  • 3
  • 1
  • 1
  • 1
Humain

Hôte

  • 48
  • 7
  • 2
  • 1
Lapin

Clonalité

  • 38
  • 20
Polyclonal

Conjugué

  • 34
  • 10
  • 2
  • 2
  • 2
  • 2
  • 2
  • 2
  • 1
  • 1
Cet anticorp LEFTY2 est non-conjugé

Application

  • 50
  • 17
  • 15
  • 12
  • 10
  • 6
  • 3
  • 2
  • 1
  • 1
  • 1
  • 1
  • 1
  • 1
  • 1
Western Blotting (WB), Immunohistochemistry (IHC), ELISA
  • Épitope

    • 4
    • 4
    • 4
    • 3
    • 2
    • 2
    • 1
    • 1
    • 1
    AA 57-366

    Fonction

    LEFTY2 Antibody

    Purification

    Antigen Affinity Purified

    Immunogène

    Recombinant Human Left-right determination factor 2 protein (57-366AA)

    Isotype

    IgG
  • Indications d'application

    Optimal working dilution should be determined by the investigator.

    Restrictions

    For Research Use only
  • Format

    Liquid

    Buffer

    PBS with 0.02 % sodium azide, 50 % glycerol, pH 7.3.

    Agent conservateur

    Sodium azide

    Précaution d'utilisation

    This product contains Sodium azide: a POISONOUS AND HAZARDOUS SUBSTANCE which should be handled by trained staff only.

    Stock

    -20 °C,-80 °C

    Stockage commentaire

    Upon receipt, store at -20°C or -80°C. Avoid repeated freeze.
  • Antigène

    LEFTY2 (Left-Right Determination Factor 2 (LEFTY2))

    Autre désignation

    LEFTY2

    Sujet

    Background: Required for left-right (L-R) asymmetry determination of organ systems in mammals. May play a role in endometrial bleeding.

    Aliases: EBAF antibody, Endometrial bleeding associated factor (left right determination factor A transforming growth factor beta superfamily) antibody, Endometrial bleeding associated factor antibody, Endometrial bleeding-associated factor antibody, Left right determination factor 2 antibody, Left right determination factor A antibody, Left-right determination factor 2 antibody, Left-right determination factor A antibody, LEFTA antibody, LEFTY 2 antibody, LEFTY2 antibody, LEFTYA antibody, LFTY2 transforming growth factor, beta -4 antibody, LFTY2, mouse, homolog of antibody, LFTY2_HUMAN antibody, MGC46222 antibody, Protein lefty 2 antibody, Protein lefty A antibody, Protein lefty-2 antibody, Protein lefty-A antibody, Protein lefty2 antibody, PSEC0024 antibody, TGF beta 4 antibody, TGF-beta-4 antibody, TGFB4 antibody, Transforming growth factor beta 4 antibody, Transforming growth factor beta-4 antibody

    UniProt

    O00292
Vous êtes ici:
Chat with us!