×
Pour une meilleure utilisation, nous vous conseillons d’activer Javascript dans votre navigateur.
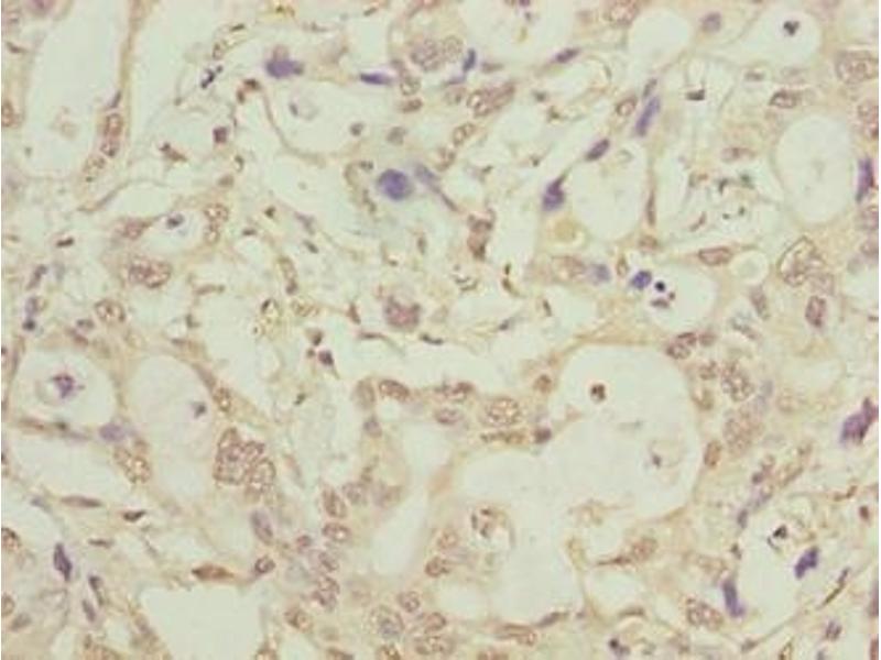
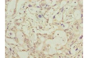
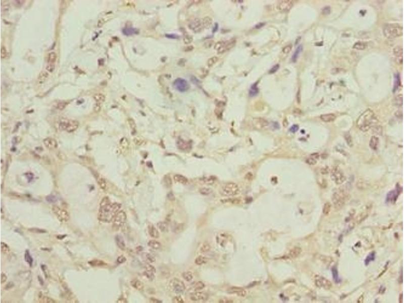
LRTM1 anticorps (AA 1-212)
Cet anticorps anti-LRTM1 Polyclonal Lapin (ABIN7158058) détecte spécifiquement LRTM1 dans ELISA, IHC, WB et IF.
L’anticorps est réactif avec des échantillons de Humain.
N° du produit ABIN7158058
328,90 €
Plus frais de livraison 40,00 € et TVA
50 μg ABIN7360626
100 μg ABIN7158058
50 μg ABIN7360626
100 μg ABIN7158058
Envoi sous 11 à 15 jours ouvrables
Aperçu rapide pour LRTM1 anticorps (AA 1-212) (ABIN7158058)
Antigène
LRTM1
(Leucine-Rich Repeats and Transmembrane Domains 1 (LRTM1))
Reactivité
Humain
Hôte
Toutes les hôtes sur LRTM1 Anticorps
Lapin
Clonalité
Toutes les clonalités sur LRTM1 Anticorps
Polyclonal
Conjugué
Tous les conjugués à travers LRTM1 Anticorps
Cet anticorp LRTM1 est non-conjugé
Application
ELISA, Immunohistochemistry (IHC), Western Blotting (WB), Immunofluorescence (IF)
Détail du produit anti-LRTM1 anticorps
(cache)
Épitope
AA 1-212
Fonction
LRTM1 Antibody
Purification
Antigen Affinity Purified
Immunogène
Recombinant Human Leucine-rich repeat and transmembrane domain-containing protein 1 protein (1-212AA)
Isotype
IgG
Alternatives
(show)
Information d'application
(cache)
Indications d'application
Optimal working dilution should be determined by the investigator.
Restrictions
For Research Use only
Stockage
(cache)
Format
Liquid
Buffer
Preservative: 0.03 % Proclin 300 Constituents: 50 % Glycerol, 0.01M PBS, PH 7.4
Agent conservateur
ProClin
Précaution d'utilisation
This product contains ProClin: a POISONOUS AND HAZARDOUS SUBSTANCE which should be handled by trained staff only.
Stock
-20 °C,-80 °C
Stockage commentaire
Upon receipt, store at -20°C or -80°C. Avoid repeated freeze.
Détails sur LRTM1
(cache)
Antigène
LRTM1
(Leucine-Rich Repeats and Transmembrane Domains 1 (LRTM1))
Autre désignation
LRTM1
Sujet
HT017 antibody, Leucine rich repeats and transmembrane domains 1 antibody, Leucine-rich repeat and transmembrane domain-containing protein 1 antibody, Lrtm1 antibody, LRTM1_HUMAN antibody
UniProt
Q9HBL6
Vus récemment
(cache)
Chat with us , powered by LiveChat