×
Pour une meilleure utilisation, nous vous conseillons d’activer Javascript dans votre navigateur.
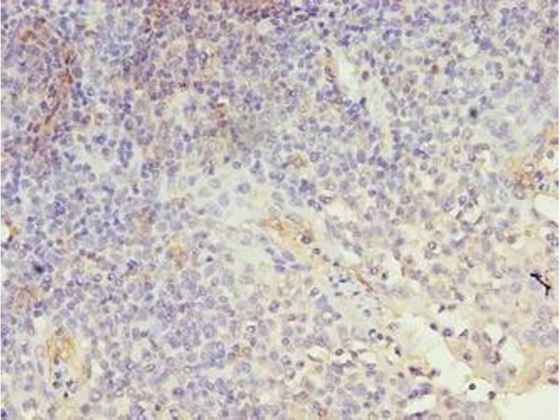
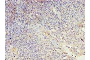
LRRN1 anticorps (AA 26-631)
Cet anticorps anti-LRRN1 Polyclonal Lapin (ABIN7158082) détecte spécifiquement LRRN1 dans ELISA et IHC.
L’anticorps est réactif avec des échantillons de Humain.
N° du produit ABIN7158082
328,90 €
Plus frais de livraison 40,00 € et TVA
50 μg ABIN7355530
100 μg ABIN7158082
50 μg ABIN7355530
100 μg ABIN7158082
Envoi sous 11 à 15 jours ouvrables
Aperçu rapide pour LRRN1 anticorps (AA 26-631) (ABIN7158082)
Antigène
Voir toutes LRRN1 Anticorps
LRRN1
(Leucine Rich Repeat Neuronal 1 (LRRN1))
Reactivité
Toutes les réactivités sur LRRN1 Anticorps
Humain
Hôte
Toutes les hôtes sur LRRN1 Anticorps
Lapin
Clonalité
Toutes les clonalités sur LRRN1 Anticorps
Polyclonal
Conjugué
Tous les conjugués à travers LRRN1 Anticorps
Cet anticorp LRRN1 est non-conjugé
Application
Tous les applications à travers LRRN1 Anticorps.
ELISA, Immunohistochemistry (IHC)
Détail du produit anti-LRRN1 anticorps
(cache)
Épitope
Tous les épitopes à travers LRRN1 Anticorps.
AA 26-631
Fonction
LRRN1 Antibody
Purification
Protein G purified
Pureté
>95 %
Immunogène
Recombinant Human Leucine-rich repeat neuronal protein 1 protein (26-631AA)
Isotype
IgG
Alternatives
(show)
Information d'application
(cache)
Indications d'application
Optimal working dilution should be determined by the investigator.
Restrictions
For Research Use only
Stockage
(cache)
Format
Liquid
Buffer
Preservative: 0.03 % Proclin 300 Constituents: 50 % Glycerol, 0.01M PBS, PH 7.4
Agent conservateur
ProClin
Précaution d'utilisation
This product contains ProClin: a POISONOUS AND HAZARDOUS SUBSTANCE which should be handled by trained staff only.
Stock
-20 °C,-80 °C
Stockage commentaire
Upon receipt, store at -20°C or -80°C. Avoid repeated freeze.
Détails sur LRRN1
(cache)
Antigène
LRRN1
(Leucine Rich Repeat Neuronal 1 (LRRN1))
Autre désignation
LRRN1
Sujet
FIGLER3 antibody, KIAA1497 antibody, Leucine-rich repeat neuronal protein 1 antibody, Lrrn1 antibody, LRRN1_HUMAN antibody, Nbla10449 antibody, Neuronal leucine-rich repeat protein 1 antibody, NLRR-1 antibody
UniProt
Q6UXK5
Vus récemment
(cache)
Chat with us , powered by LiveChat