Tel:
+49 (0)241 95 163 153
Fax:
+49 (0)241 95 163 155
E-Mail:
orders@anticorps-enligne.fr

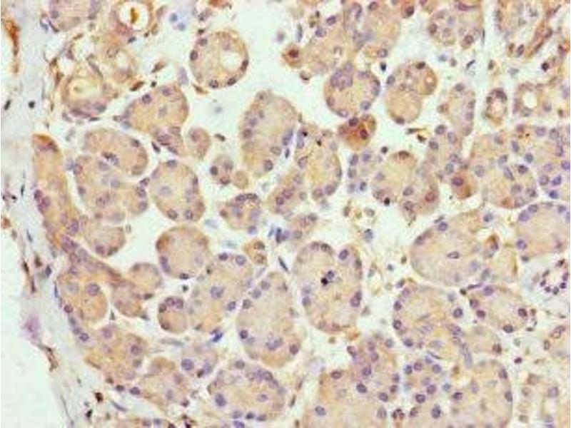
LYG1 anticorps (AA 20-194)

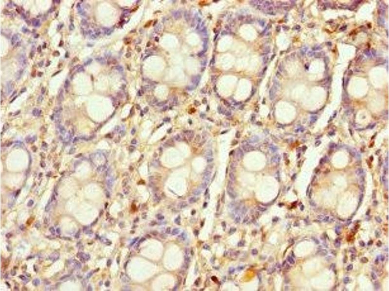
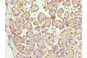
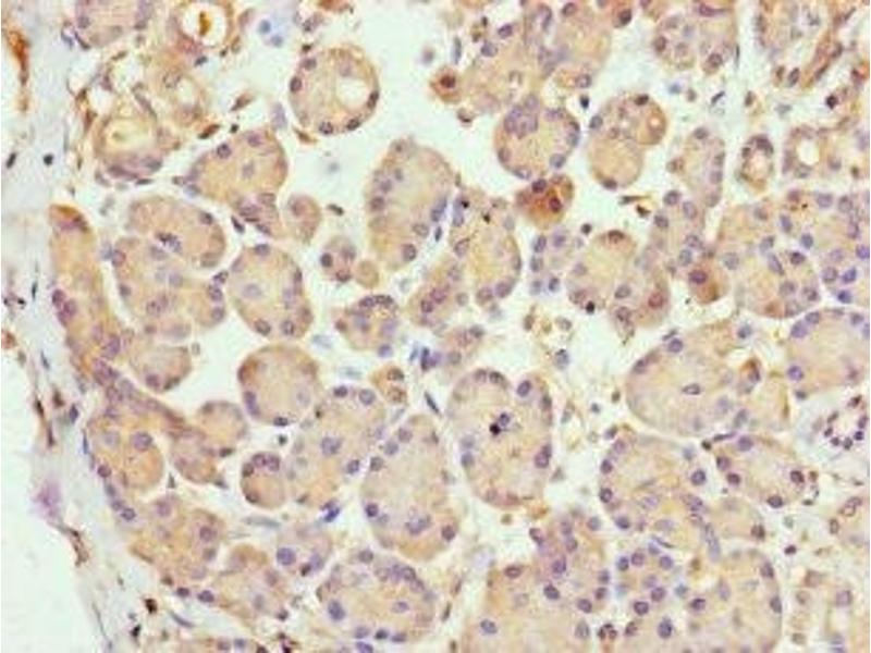
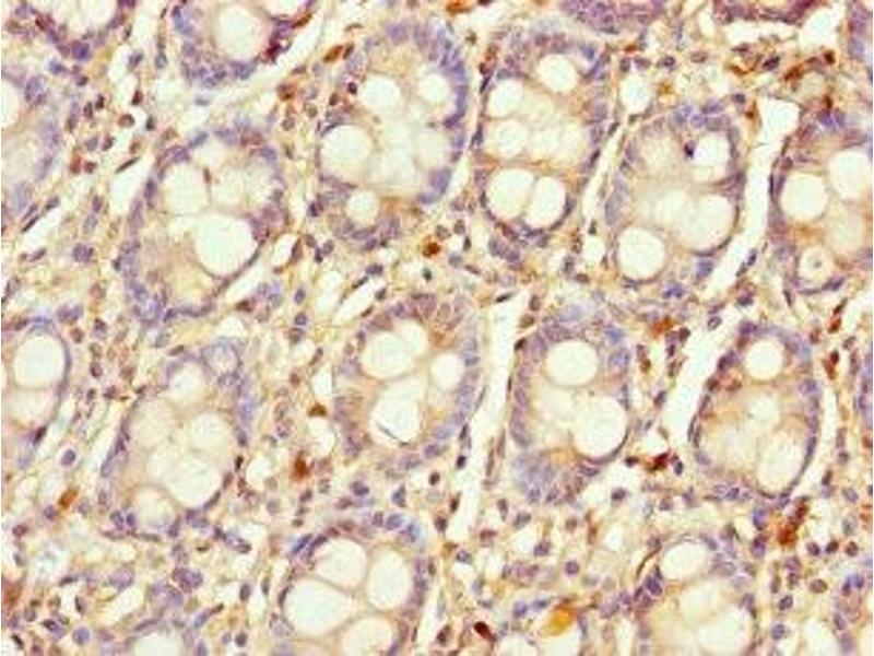
Cet anticorps anti-LYG1 Polyclonal Lapin (ABIN7158817) détecte spécifiquement LYG1 dans ELISA et IHC. L’anticorps est réactif avec des échantillons de Humain.
N° du produit ABIN7158817
328,90 €
Plus frais de livraison 40,00 € et TVA
Destination: France
Envoi sous 11 à 15 jours ouvrables

Aperçu rapide pour LYG1 anticorps (AA 20-194) (ABIN7158817)

Antigène

LYG1 (Lysozyme G-Like 1 (LYG1))

Reactivité

Humain

Hôte

  • 5
  • 2
Lapin

Clonalité

  • 7
Polyclonal

Conjugué

  • 3
  • 2
  • 1
  • 1
Cet anticorp LYG1 est non-conjugé

Application

  • 4
  • 3
  • 1
ELISA, Immunohistochemistry (IHC)
  • Épitope

    • 4
    • 2
    AA 20-194

    Fonction

    LYG1 Antibody

    Purification

    Protein G purified

    Pureté

    >95 %

    Immunogène

    Recombinant Human Lysozyme g-like protein 1 protein (20-194AA)

    Isotype

    IgG
  • Indications d'application

    Optimal working dilution should be determined by the investigator.

    Restrictions

    For Research Use only
  • Format

    Liquid

    Buffer

    Preservative: 0.03 % Proclin 300
    Constituents: 50 % Glycerol, 0.01M PBS, PH 7.4

    Agent conservateur

    ProClin

    Précaution d'utilisation

    This product contains ProClin: a POISONOUS AND HAZARDOUS SUBSTANCE which should be handled by trained staff only.

    Stock

    -20 °C,-80 °C

    Stockage commentaire

    Upon receipt, store at -20°C or -80°C. Avoid repeated freeze.
  • Antigène

    LYG1 (Lysozyme G-Like 1 (LYG1))

    Autre désignation

    LYG1

    Sujet

    LYG1 antibody, UNQ1939/PRO4422 antibody, Lysozyme g-like protein 1 antibody, EC 3.2.1.- antibody

    UniProt

    Q8N1E2
Vous êtes ici:
Chat with us!