Tel:
+49 (0)241 95 163 153
Fax:
+49 (0)241 95 163 155
E-Mail:
orders@anticorps-enligne.fr

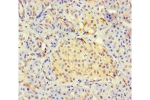
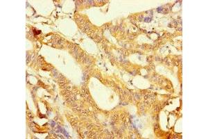
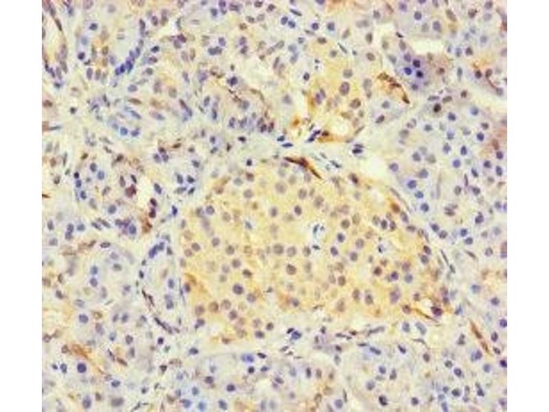
LYG2 anticorps (AA 20-212)

Cet anticorps Lapin Polyclonal détecte spécifiquement LYG2 dans ELISA et IHC. Il présente une réactivité avec des échantillons de Humain.
N° du produit ABIN7158821
328,90 €
Plus frais de livraison 40,00 € et TVA
Destination: France
Envoi sous 11 à 15 jours ouvrables

Aperçu rapide pour LYG2 anticorps (AA 20-212) (ABIN7158821)

Antigène

LYG2 (Lysozyme G-Like 2 (LYG2))

Reactivité

  • 10
  • 2
  • 2
  • 2
  • 2
  • 2
  • 2
  • 1
  • 1
Humain

Hôte

  • 8
  • 2
Lapin

Clonalité

  • 10
Polyclonal

Conjugué

  • 6
  • 2
  • 1
  • 1
Cet anticorp LYG2 est non-conjugé

Application

ELISA, Immunohistochemistry (IHC)
  • Épitope

    • 4
    • 2
    • 1
    • 1
    • 1
    • 1
    AA 20-212

    Fonction

    LYG2 Antibody

    Purification

    Protein G purified

    Pureté

    >95 %

    Immunogène

    Recombinant Human Lysozyme g-like protein 2 protein (20-212AA)

    Isotype

    IgG
  • Indications d'application

    Optimal working dilution should be determined by the investigator.

    Restrictions

    For Research Use only
  • Format

    Liquid

    Buffer

    Preservative: 0.03 % Proclin 300
    Constituents: 50 % Glycerol, 0.01M PBS, PH 7.4

    Agent conservateur

    ProClin

    Précaution d'utilisation

    This product contains ProClin: a POISONOUS AND HAZARDOUS SUBSTANCE which should be handled by trained staff only.

    Stock

    -20 °C,-80 °C

    Stockage commentaire

    Upon receipt, store at -20°C or -80°C. Avoid repeated freeze.
  • Antigène

    LYG2 (Lysozyme G-Like 2 (LYG2))

    Autre désignation

    LYG2

    Sujet

    Background: May act as a potent antibacterial protein that may play a role in the innate immunity.

    Aliases: LYG 2 antibody, Lyg2 antibody, LYG2_HUMAN antibody, LYGH antibody, Lysozyme G like 2 antibody, Lysozyme g like protein 2 antibody, Lysozyme g-like protein 2 antibody, Lysozyme like antibody, MGC119046 antibody, MGC119047 antibody, MGC119049 antibody

    UniProt

    Q86SG7
Vous êtes ici:
Chat with us!