Tel:
+49 (0)241 95 163 153
Fax:
+49 (0)241 95 163 155
E-Mail:
orders@anticorps-enligne.fr

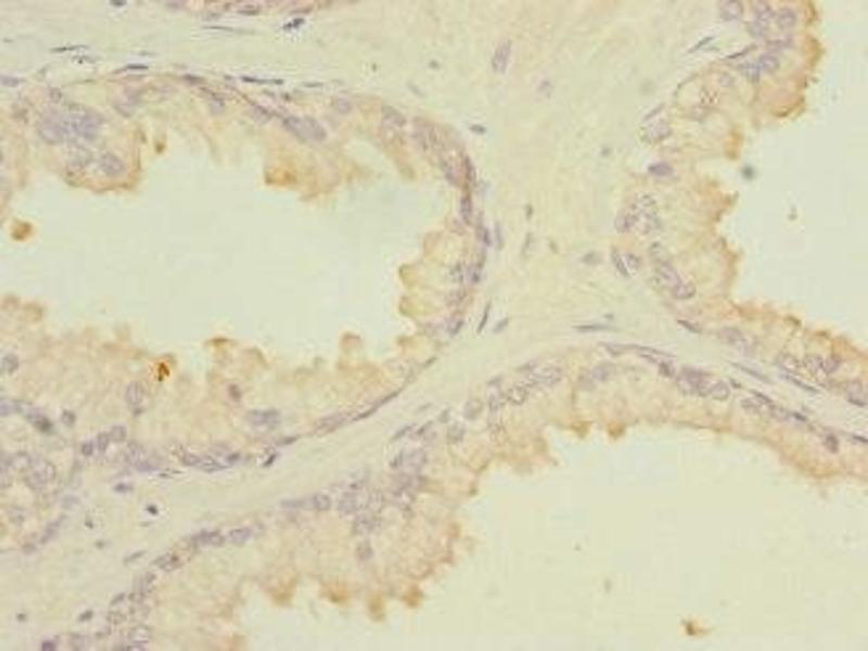
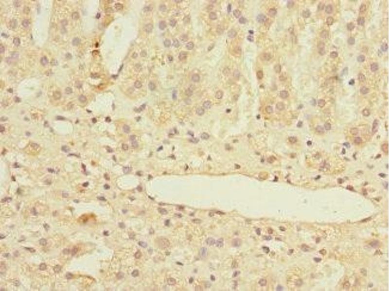
MARCKSL1 anticorps (AA 1-195)

L’anticorps anti-MARCKSL1 Polyclonal Lapin est utilisé pour la détection de MARCKSL1 dans des échantillons de Humain. Il a été validé pour ELISA et IHC.
N° du produit ABIN7159008
328,90 €
Plus frais de livraison 40,00 € et TVA
Destination: France
Envoi sous 11 à 15 jours ouvrables

Aperçu rapide pour MARCKSL1 anticorps (AA 1-195) (ABIN7159008)

Antigène

Voir toutes MARCKSL1 Anticorps
MARCKSL1 (MARCKS-Like 1 (MARCKSL1))

Reactivité

  • 19
  • 5
  • 4
  • 2
  • 2
  • 2
  • 2
  • 1
  • 1
Humain

Hôte

  • 16
  • 3
Lapin

Clonalité

  • 16
  • 3
Polyclonal

Conjugué

  • 14
  • 1
  • 1
  • 1
  • 1
  • 1
Cet anticorp MARCKSL1 est non-conjugé

Application

  • 18
  • 10
  • 3
  • 2
  • 2
  • 1
  • 1
  • 1
  • 1
ELISA, Immunohistochemistry (IHC)
  • Épitope

    • 8
    • 5
    • 2
    • 1
    • 1
    • 1
    • 1
    AA 1-195

    Fonction

    MARCKSL1 Antibody

    Purification

    Antigen Affinity Purified

    Immunogène

    Recombinant Human MARCKS-related protein (1-195AA)

    Isotype

    IgG
  • Indications d'application

    Optimal working dilution should be determined by the investigator.

    Restrictions

    For Research Use only
  • Format

    Liquid

    Buffer

    PBS with 0.02 % sodium azide, 50 % glycerol, pH 7.3.

    Agent conservateur

    Sodium azide

    Précaution d'utilisation

    This product contains Sodium azide: a POISONOUS AND HAZARDOUS SUBSTANCE which should be handled by trained staff only.

    Stock

    -20 °C,-80 °C

    Stockage commentaire

    Upon receipt, store at -20°C or -80°C. Avoid repeated freeze.
  • Antigène

    MARCKSL1 (MARCKS-Like 1 (MARCKSL1))

    Autre désignation

    MARCKSL1

    Sujet

    Background: Controls cell movement by regulating actin cytoskeleton homeostasis and filopodium and lamellipodium formation. When unphosphorylated, induces cell migration. When phosphorylated by MAPK8, induces actin bundles formation and stabilization, thereby reducing actin plasticity, hence restricting cell movement, including neuronal migration. May also affect cancer cell migration. May be involved in coupling the protein kinase C and calmodulin signal transduction systems (By similarity).

    Aliases: F52 antibody, Mac MARCKS antibody, Mac-MARCKS antibody, MacMARCKS antibody, Macrophage enriched Myristoylated Alanine Rich C Kinase Substrate Like Protein antibody, Macrophage myristoylated alanine-rich C kinase substrate antibody, MARCKS like 1 antibody, MARCKS like protein 1 antibody, MARCKS related protein antibody, MARCKS-like protein 1 antibody, MARCKS-related protein antibody, MARCKSL1 antibody, MLP antibody, MLP1 antibody, MRP antibody, MRP_HUMAN antibody

    UniProt

    P49006
Vous êtes ici:
Chat with us!