Tel:
+49 (0)241 95 163 153
Fax:
+49 (0)241 95 163 155
E-Mail:
orders@anticorps-enligne.fr

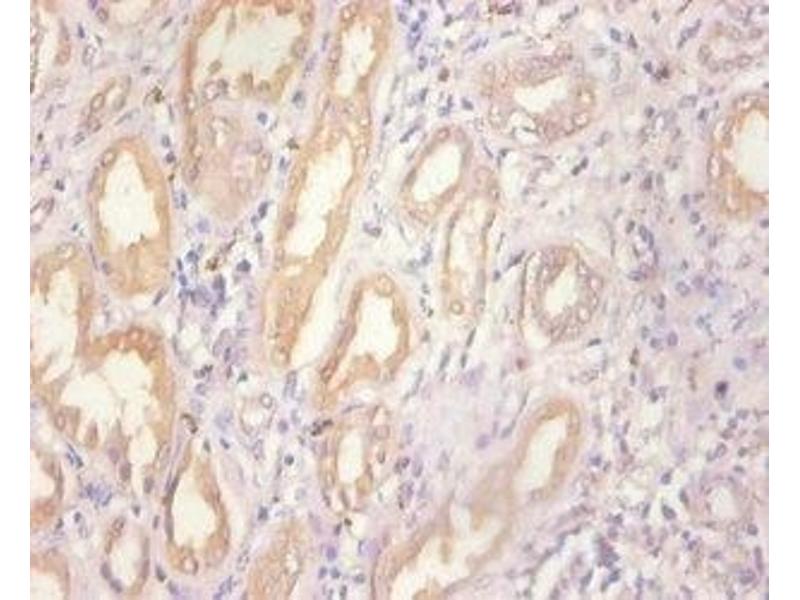
MT1A anticorps (AA 1-59)

L’anticorps anti-MT1A Polyclonal Lapin est utilisé pour la détection de MT1A dans des échantillons de Humain. Il a été validé pour ELISA et IHC.
N° du produit ABIN7159509
328,90 €
Plus frais de livraison 40,00 € et TVA
Destination: France
Envoi sous 11 à 15 jours ouvrables

Aperçu rapide pour MT1A anticorps (AA 1-59) (ABIN7159509)

Antigène

Voir toutes MT1A Anticorps
MT1A (Metallothionein 1A (MT1A))

Reactivité

  • 7
  • 1
  • 1
Humain

Hôte

  • 8
  • 1
Lapin

Clonalité

  • 9
Polyclonal

Conjugué

  • 3
  • 2
  • 2
  • 2
Cet anticorp MT1A est non-conjugé

Application

  • 6
  • 5
  • 1
ELISA, Immunohistochemistry (IHC)
  • Épitope

    • 4
    • 1
    AA 1-59

    Fonction

    MT1A Antibody

    Purification

    Protein G purified

    Pureté

    >95 %

    Immunogène

    Recombinant Human Metallothionein-1A protein (1-59AA)

    Isotype

    IgG
  • Indications d'application

    Optimal working dilution should be determined by the investigator.

    Restrictions

    For Research Use only
  • Format

    Liquid

    Buffer

    Preservative: 0.03 % Proclin 300
    Constituents: 50 % Glycerol, 0.01M PBS, PH 7.4

    Agent conservateur

    ProClin

    Précaution d'utilisation

    This product contains ProClin: a POISONOUS AND HAZARDOUS SUBSTANCE which should be handled by trained staff only.

    Stock

    -20 °C,-80 °C

    Stockage commentaire

    Upon receipt, store at -20°C or -80°C. Avoid repeated freeze.
  • Antigène

    MT1A (Metallothionein 1A (MT1A))

    Autre désignation

    MT1A

    Sujet

    Background: Metallothioneins have a high content of cysteine residues that bind various heavy metals, these proteins are transcriptionally regulated by both heavy metals and glucocorticoids.

    Aliases: CES 1 antibody, CES1 antibody, Metallothionein 1A antibody, Metallothionein 1S antibody, Metallothionein 2 antibody, Metallothionein 2A antibody, Metallothionein IA antibody, Metallothionein II antibody, Metallothionein-1A antibody, Metallothionein-IA antibody, Metallothionein2 antibody, MGC32848 antibody, MT 1A antibody, MT 2 antibody, MT 2A antibody, MT IA antibody, MT II antibody, MT-1A antibody, MT-IA antibody, MT1 antibody, MT1A antibody, MT1A_HUMAN antibody, MT1S antibody, MT2 antibody, MT2A antibody, MTC antibody

    UniProt

    P04731
Vous êtes ici:
Chat with us!