Tel:
+49 (0)241 95 163 153
Fax:
+49 (0)241 95 163 155
E-Mail:
orders@anticorps-enligne.fr

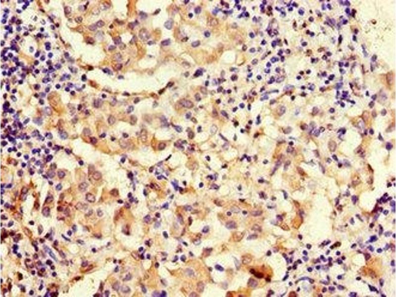
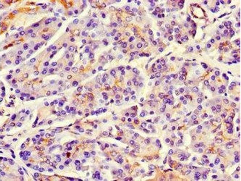
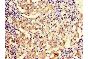
MAP10 anticorps (AA 401-600)

L’anticorps anti-MAP10 Polyclonal Lapin est utilisé pour la détection de MAP10 dans des échantillons de Humain. Il a été validé pour ELISA, IHC, WB et IF.
N° du produit ABIN7159746
328,90 €
Plus frais de livraison 40,00 € et TVA
Destination: France
Envoi sous 11 à 15 jours ouvrables

Aperçu rapide pour MAP10 anticorps (AA 401-600) (ABIN7159746)

Antigène

MAP10 (Microtubule-Associated Protein 10 (MAP10))

Reactivité

  • 8
  • 1
Humain

Hôte

  • 8
Lapin

Clonalité

  • 8
Polyclonal

Conjugué

  • 2
  • 2
  • 2
  • 2
Cet anticorp MAP10 est non-conjugé

Application

  • 7
  • 2
  • 2
  • 1
  • 1
ELISA, Immunohistochemistry (IHC), Western Blotting (WB), Immunofluorescence (IF)
  • Épitope

    AA 401-600

    Fonction

    MAP10 Antibody

     Réactivité croisée

    Souris

    Purification

    Protein G purified

    Pureté

    >95 %

    Immunogène

    Recombinant Human Microtubule-associated protein 10 protein (401-600AA)

    Isotype

    IgG
  • Indications d'application

    Optimal working dilution should be determined by the investigator.

    Restrictions

    For Research Use only
  • Format

    Liquid

    Buffer

    Preservative: 0.03 % Proclin 300
    Constituents: 50 % Glycerol, 0.01M PBS, PH 7.4

    Agent conservateur

    ProClin

    Précaution d'utilisation

    This product contains ProClin: a POISONOUS AND HAZARDOUS SUBSTANCE which should be handled by trained staff only.

    Stock

    -20 °C,-80 °C

    Stockage commentaire

    Upon receipt, store at -20°C or -80°C. Avoid repeated freeze.
  • Antigène

    MAP10 (Microtubule-Associated Protein 10 (MAP10))

    Autre désignation

    MAP10

    Sujet

    Background: Microtubule-associated protein (MAP) that plays a role in the regulation of cell division, promotes microtubule stability and participates in the organization of the spindle midzone and normal progress of cytokinesis.

    Aliases: MAP10 antibody, KIAA1383 antibody, MTR120Microtubule-associated protein 10 antibody, Microtubule regulator of 120 KDa antibody

    UniProt

    Q9P2G4
Vous êtes ici:
Chat with us!