Tel:
+49 (0)241 95 163 153
Fax:
+49 (0)241 95 163 155
E-Mail:
orders@anticorps-enligne.fr

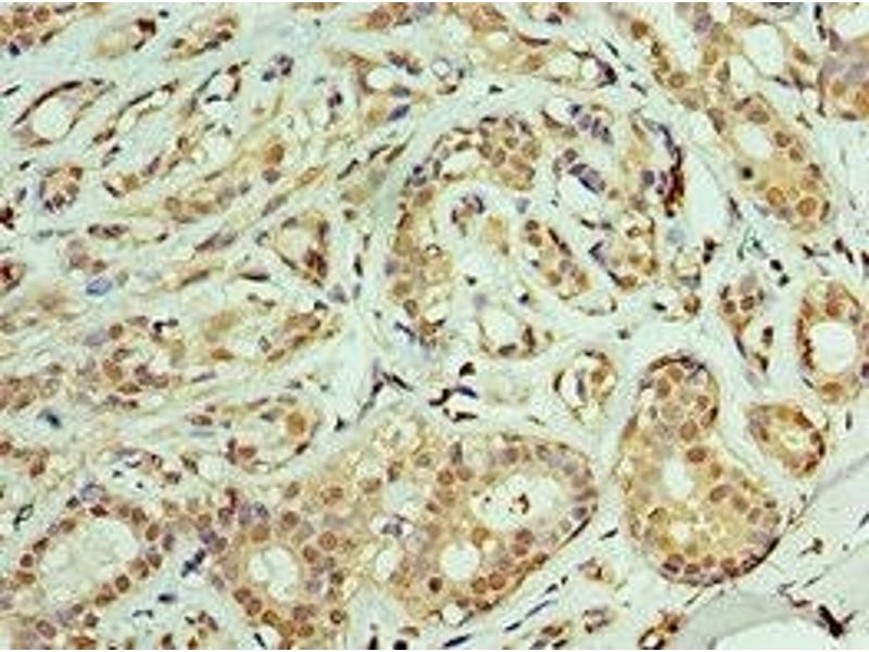
TIMM21 anticorps (AA 1-248)

Cet anticorps Lapin Polyclonal détecte spécifiquement TIMM21 dans IHC et ELISA. Il présente une réactivité avec des échantillons de Humain.
N° du produit ABIN7159904
328,90 €
Plus frais de livraison 40,00 € et TVA
Destination: France
Envoi sous 11 à 15 jours ouvrables

Aperçu rapide pour TIMM21 anticorps (AA 1-248) (ABIN7159904)

Antigène

Voir toutes TIMM21 (C18orf55) Anticorps
TIMM21 (C18orf55) (Chromosome 18 Open Reading Frame 55 (C18orf55))

Reactivité

  • 12
  • 2
  • 1
Humain

Hôte

  • 11
  • 1
Lapin

Clonalité

  • 12
Polyclonal

Conjugué

  • 5
  • 1
  • 1
  • 1
  • 1
  • 1
  • 1
  • 1
Cet anticorp TIMM21 est non-conjugé

Application

  • 5
  • 1
  • 1
Immunohistochemistry (IHC), ELISA
  • Épitope

    • 1
    • 1
    • 1
    • 1
    AA 1-248

    Fonction

    TIMM21 Antibody

    Purification

    Antigen Affinity Purified

    Immunogène

    Recombinant Human Mitochondrial import inner membrane translocase subunit Tim21 protein (1-248AA)

    Isotype

    IgG
  • Indications d'application

    Optimal working dilution should be determined by the investigator.

    Restrictions

    For Research Use only
  • Format

    Liquid

    Buffer

    PBS with 0.02 % sodium azide, 50 % glycerol, pH 7.3.

    Agent conservateur

    Sodium azide

    Précaution d'utilisation

    This product contains Sodium azide: a POISONOUS AND HAZARDOUS SUBSTANCE which should be handled by trained staff only.

    Stock

    -20 °C,-80 °C

    Stockage commentaire

    Upon receipt, store at -20°C or -80°C. Avoid repeated freeze.
  • Antigène

    TIMM21 (C18orf55) (Chromosome 18 Open Reading Frame 55 (C18orf55))

    Autre désignation

    TIMM21

    Sujet

    Background: Participates in the translocation of transit peptide-containing proteins across the mitochondrial inner membrane. Also required for assembly of mitochondrial respiratory chain complex I and complex IV as component of some MITRAC complex, a cytochrome c oxidase (COX) assembly intermediate complex. TIM21 probably shuttles between the presequence translocase and respiratory-chain assembly intermediates in a process that promotes incorporation of early nuclear-encoded subunits into these complexes.

    Aliases: TIMM21 antibody, C18orf55 antibody, TIM21 antibody, HSPC154 antibody, Mitochondrial import inner membrane translocase subunit Tim21 antibody, TIM21-like protein antibody, mitochondrial antibody

    UniProt

    Q9BVV7
Vous êtes ici:
Chat with us!