Tel:
+49 (0)241 95 163 153
Fax:
+49 (0)241 95 163 155
E-Mail:
orders@anticorps-enligne.fr

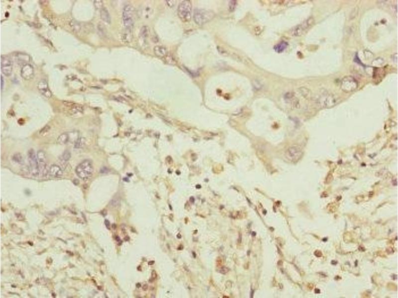
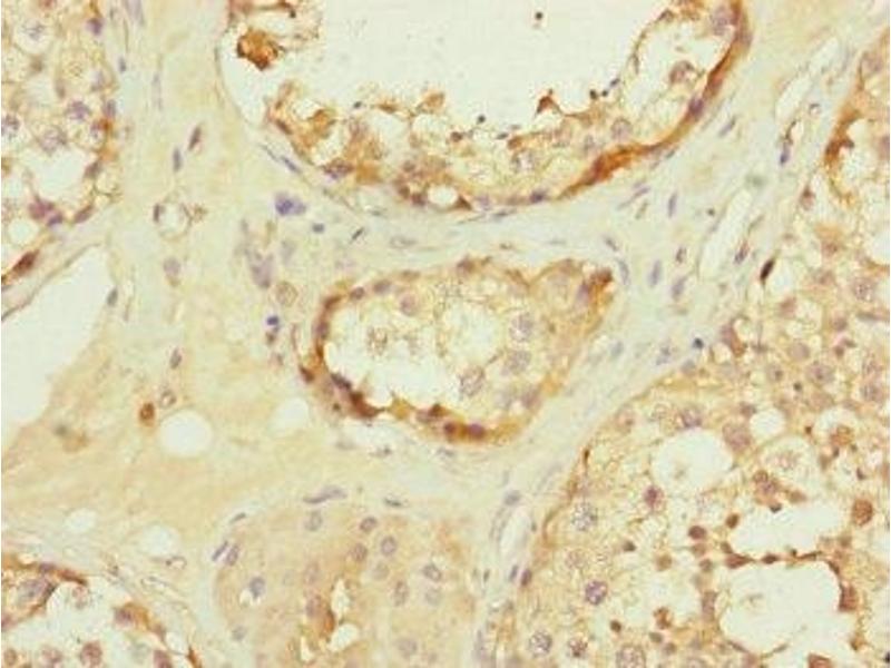
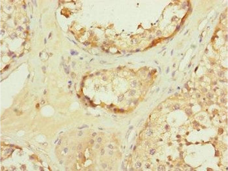
TOMM34 anticorps (AA 1-309)

L’anticorps anti-TOMM34 Polyclonal Lapin est utilisé pour la détection de TOMM34 dans des échantillons de Humain. Il a été validé pour IHC et ELISA.
N° du produit ABIN7159917
328,90 €
Plus frais de livraison 40,00 € et TVA
Destination: France
Envoi sous 11 à 15 jours ouvrables

Aperçu rapide pour TOMM34 anticorps (AA 1-309) (ABIN7159917)

Antigène

Voir toutes TOMM34 Anticorps
TOMM34 (Translocase of Outer Mitochondrial Membrane 34 (TOMM34))

Reactivité

  • 22
  • 10
  • 5
  • 3
  • 2
  • 2
  • 2
  • 1
  • 1
  • 1
  • 1
Humain

Hôte

  • 15
  • 9
Lapin

Clonalité

  • 16
  • 8
Polyclonal

Conjugué

  • 24
Cet anticorp TOMM34 est non-conjugé

Application

  • 23
  • 9
  • 8
  • 8
  • 5
  • 3
  • 2
  • 1
Immunohistochemistry (IHC), ELISA
  • Épitope

    • 7
    • 3
    • 2
    • 1
    • 1
    AA 1-309

    Fonction

    TOMM34 Antibody

    Purification

    Antigen Affinity Purified

    Immunogène

    Recombinant Human Mitochondrial import receptor subunit TOM34 protein (1-309AA)

    Isotype

    IgG
  • Indications d'application

    Optimal working dilution should be determined by the investigator.

    Restrictions

    For Research Use only
  • Format

    Liquid

    Buffer

    PBS with 0.02 % sodium azide, 50 % glycerol, pH 7.3.

    Agent conservateur

    Sodium azide

    Précaution d'utilisation

    This product contains Sodium azide: a POISONOUS AND HAZARDOUS SUBSTANCE which should be handled by trained staff only.

    Stock

    -20 °C,-80 °C

    Stockage commentaire

    Upon receipt, store at -20°C or -80°C. Avoid repeated freeze.
  • Antigène

    TOMM34 (Translocase of Outer Mitochondrial Membrane 34 (TOMM34))

    Autre désignation

    TOMM34

    Sujet

    Background: Plays a role in the import of cytosolically synthesized preproteins into mitochondria. Binds the mature portion of precursor proteins. Interacts with cellular components, and possesses weak ATPase activity. May be a chaperone-like protein that helps to keep newly synthesized precursors in an unfolded import compatible state.

    Aliases: hTom34 antibody, HTOM34P antibody, Mitochondrial import receptor subunit TOM34 antibody, OTTHUMP00000031079 antibody, Outer mitochondrial membrane translocase (34kD) antibody, TOM 34 antibody, TOM34 antibody, TOM34_HUMAN antibody, TOMM 34 antibody, TOMM34 antibody, Translocase of outer membrane 34 kDa subunit antibody, Translocase of outer mitochondrial membrane 34 antibody, URCC 3 antibody, URCC3 antibody

    UniProt

    Q15785
Vous êtes ici:
Chat with us!