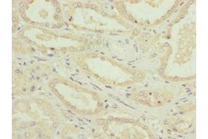
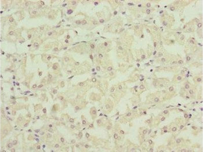
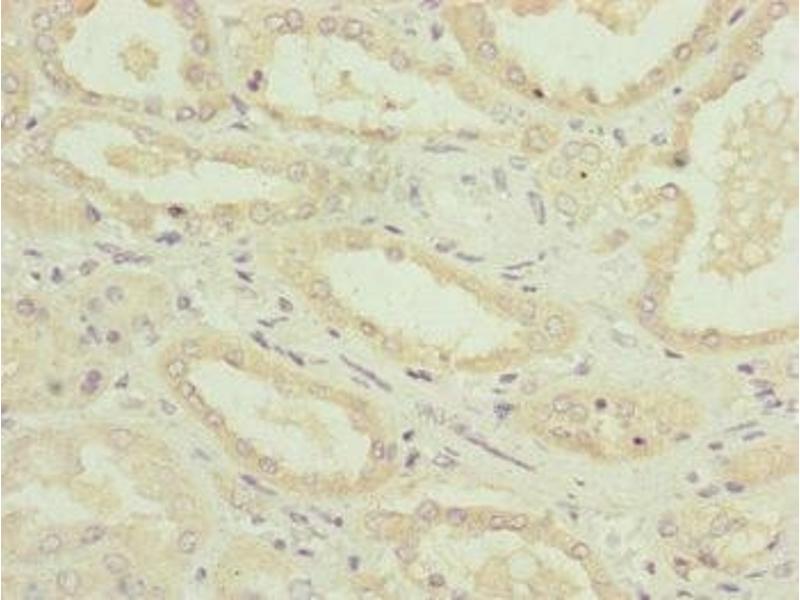
NDUFA12 anticorps (AA 1-145)
Aperçu rapide pour NDUFA12 anticorps (AA 1-145) (ABIN7160891)
Antigène
Voir toutes NDUFA12 AnticorpsReactivité
Hôte
Clonalité
Conjugué
Application
-
-
Épitope
- AA 1-145
-
Fonction
- NDUFA12 Antibody
-
Purification
- Antigen Affinity Purified
-
Immunogène
- Recombinant Human NADH dehydrogenase [ubiquinone] 1 alpha subcomplex subunit 12 protein (1-145AA)
-
Isotype
- IgG
-
-
-
-
Indications d'application
- Optimal working dilution should be determined by the investigator.
-
Restrictions
- For Research Use only
-
-
-
Format
- Liquid
-
Buffer
- PBS with 0.02 % sodium azide, 50 % glycerol, pH 7.3.
-
Agent conservateur
- Sodium azide
-
Précaution d'utilisation
- This product contains Sodium azide: a POISONOUS AND HAZARDOUS SUBSTANCE which should be handled by trained staff only.
-
Stock
- -20 °C,-80 °C
-
Stockage commentaire
- Upon receipt, store at -20°C or -80°C. Avoid repeated freeze.
-
-
- NDUFA12 (NADH Dehydrogenase (Ubiquinone) 1 alpha Subcomplex, 12 (NDUFA12))
-
Autre désignation
- NDUFA12
-
Sujet
-
Background: Accessory subunit of the mitochondrial membrane respiratory chain NADH dehydrogenase (Complex I), that is believed not to be involved in catalysis. Complex I functions in the transfer of electrons from NADH to the respiratory chain. The immediate electron acceptor for the enzyme is believed to be ubiquinone.
Aliases: 13 kDa differentiation associated protein antibody, 13 kDa differentiation-associated protein antibody, 2410011G03Rik antibody, AW112974 antibody, B17.2 antibody, CI-B17.2 antibody, CIB17.2 antibody, Complex I B17.2 antibody, Complex I B17.2 subunit antibody, Complex I-B17.2 antibody, DAP13 antibody, MGC107642 antibody, MGC7999 antibody, NADH dehydrogenase (ubiquinone) 1 alpha subcomplex 12 antibody, NADH dehydrogenase [ubiquinone] 1 alpha subcomplex subunit 12 antibody, NADH ubiquinone oxidoreductase subunit B17.2 antibody, NADH-ubiquinone oxidoreductase subunit B17.2 antibody, NDUAC_HUMAN antibody, NDUFA12 antibody, RGD1311462 antibody
-
UniProt
- Q9UI09
Antigène
-