Tel:
+49 (0)241 95 163 153
Fax:
+49 (0)241 95 163 155
E-Mail:
orders@anticorps-enligne.fr

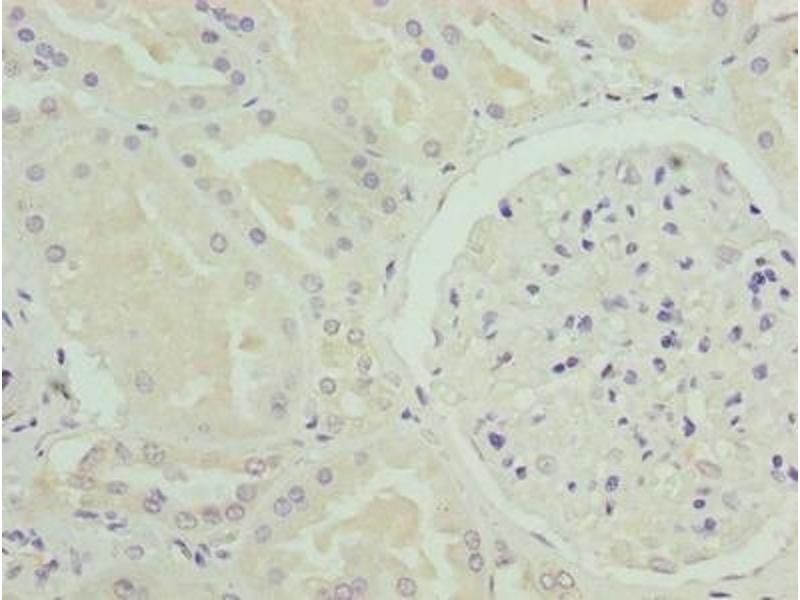
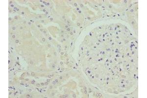
NADPH Oxidase 4 anticorps (AA 210-424)

Cet anticorps anti-NADPH Oxidase 4 Polyclonal Lapin (ABIN7161010) détecte spécifiquement NADPH Oxidase 4 dans ELISA, IHC et IF. L’anticorps est réactif avec des échantillons de Humain.
N° du produit ABIN7161010
328,90 €
Plus frais de livraison 40,00 € et TVA
Destination: France
Envoi sous 11 à 15 jours ouvrables

Aperçu rapide pour NADPH Oxidase 4 anticorps (AA 210-424) (ABIN7161010)

Antigène

Voir toutes NADPH Oxidase 4 (NOX4) Anticorps
NADPH Oxidase 4 (NOX4)

Reactivité

  • 106
  • 57
  • 53
  • 4
  • 3
  • 2
  • 2
  • 2
  • 2
  • 2
  • 1
  • 1
Humain

Hôte

  • 98
  • 15
Lapin

Clonalité

  • 78
  • 36
Polyclonal

Conjugué

  • 37
  • 11
  • 7
  • 5
  • 4
  • 3
  • 3
  • 3
  • 3
  • 3
  • 3
  • 2
  • 2
  • 2
  • 2
  • 2
  • 2
  • 2
  • 2
  • 2
  • 2
  • 2
  • 1
  • 1
  • 1
  • 1
  • 1
  • 1
  • 1
  • 1
  • 1
  • 1
Cet anticorp NADPH Oxidase 4 est non-conjugé

Application

  • 89
  • 41
  • 41
  • 33
  • 27
  • 19
  • 18
  • 14
  • 13
  • 10
  • 8
  • 4
  • 2
ELISA, Immunohistochemistry (IHC), Immunofluorescence (IF)
  • Épitope

    • 16
    • 16
    • 10
    • 7
    • 4
    • 3
    • 2
    • 2
    • 2
    • 2
    • 2
    • 1
    • 1
    • 1
    • 1
    • 1
    • 1
    AA 210-424

    Fonction

    NOX4 Antibody

    Purification

    Protein G purified

    Pureté

    >95 %

    Immunogène

    Recombinant Human NADPH oxidase 4 protein (210-424AA)

    Isotype

    IgG
  • Indications d'application

    Optimal working dilution should be determined by the investigator.

    Restrictions

    For Research Use only
  • Format

    Liquid

    Buffer

    Preservative: 0.03 % Proclin 300
    Constituents: 50 % Glycerol, 0.01M PBS, PH 7.4

    Agent conservateur

    ProClin

    Précaution d'utilisation

    This product contains ProClin: a POISONOUS AND HAZARDOUS SUBSTANCE which should be handled by trained staff only.

    Stock

    -20 °C,-80 °C

    Stockage commentaire

    Upon receipt, store at -20°C or -80°C. Avoid repeated freeze.
  • Antigène

    NADPH Oxidase 4 (NOX4)

    Autre désignation

    NOX4

    Sujet

    Background: Constitutive NADPH oxidase which generates superoxide intracellularly upon formation of a complex with CYBA/p22phox. Regulates signaling cascades probably through phosphatases inhibition. May function as an oxygen sensor regulating the KCNK3/TASK-1 potassium channel and HIF1A activity. May regulate insulin signaling cascade. May play a role in apoptosis, bone resorption and lipolysaccharide-mediated activation of NFKB. May produce superoxide in the nucleus and play a role in regulating gene expression upon cell stimulation. Isoform 3 is not functional. Isoform 5 and isoform 6 display reduced activity.

    Aliases: Kidney oxidase 1 antibody, Kidney oxidase-1 antibody, Kidney superoxide producing NADPH oxidase antibody, Kidney superoxide-producing NADPH oxidase antibody, KOX 1 antibody, KOX antibody, Kox-1 antibody, KOX1 antibody, NADPH antibody, NADPH oxidase 4 antibody, Nox4 antibody, NOX4_HUMAN antibody, Renal NAD(P)H oxidase antibody, Renal NAD(P)H-oxidase antibody, RENOX antibody

    UniProt

    Q9NPH5

    Pathways

    Carbohydrate Homeostasis, Smooth Muscle Cell Migration
Vous êtes ici:
Chat with us!