Tel:
+49 (0)241 95 163 153
Fax:
+49 (0)241 95 163 155
E-Mail:
orders@anticorps-enligne.fr

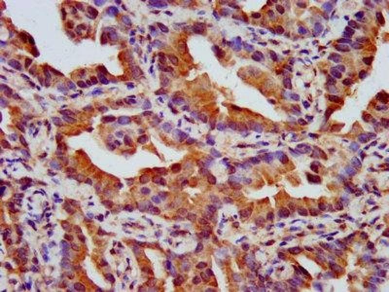
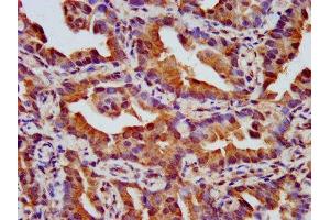
NPHP4 anticorps (AA 397-543)

Cet anticorps Lapin Polyclonal détecte spécifiquement NPHP4 dans ELISA, IHC et IF. Il présente une réactivité avec des échantillons de Humain.
N° du produit ABIN7161158
328,90 €
Plus frais de livraison 40,00 € et TVA
Destination: France
Envoi sous 11 à 15 jours ouvrables

Aperçu rapide pour NPHP4 anticorps (AA 397-543) (ABIN7161158)

Antigène

Voir toutes NPHP4 Anticorps
NPHP4 (Nephronophthisis 4 (NPHP4))

Reactivité

  • 21
  • 4
  • 3
Humain

Hôte

  • 20
  • 1
Lapin

Clonalité

  • 20
  • 1
Polyclonal

Conjugué

  • 11
  • 2
  • 1
  • 1
  • 1
  • 1
  • 1
  • 1
  • 1
  • 1
Cet anticorp NPHP4 est non-conjugé

Application

  • 10
  • 6
  • 4
  • 1
  • 1
  • 1
ELISA, Immunohistochemistry (IHC), Immunofluorescence (IF)
  • Épitope

    • 4
    • 1
    • 1
    • 1
    • 1
    • 1
    • 1
    AA 397-543

    Fonction

    NPHP4 Antibody

    Purification

    Protein G purified

    Pureté

    >95 %

    Immunogène

    Recombinant Human Nephrocystin-4 protein (397-543AA)

    Isotype

    IgG
  • Indications d'application

    Optimal working dilution should be determined by the investigator.

    Restrictions

    For Research Use only
  • Format

    Liquid

    Buffer

    Preservative: 0.03 % Proclin 300
    Constituents: 50 % Glycerol, 0.01M PBS, pH 7.4

    Agent conservateur

    ProClin

    Précaution d'utilisation

    This product contains ProClin: a POISONOUS AND HAZARDOUS SUBSTANCE which should be handled by trained staff only.

    Stock

    -20 °C,-80 °C

    Stockage commentaire

    Upon receipt, store at -20°C or -80°C. Avoid repeated freeze.
  • Antigène

    NPHP4 (Nephronophthisis 4 (NPHP4))

    Autre désignation

    NPHP4

    Sujet

    Background: Involved in the organization of apical junctions, the function is proposed to implicate a NPHP1-4-8 module (PubMed:19755384, PubMed:21565611). Does not seem to be strictly required for ciliogenesis (PubMed:21565611). Required for building functional cilia. Involved in the organization of the subapical actin network in multiciliated epithelial cells. Seems to recruit INT to basal bodies of motile cilia which subsequently interacts with actin-modifying proteins such as DAAM1 (By similarity). In cooperation with INVS may downregulate the canonical Wnt pathway and promote the Wnt-PCP pathway by regulating expression and subcellular location of disheveled proteins. Stabilizes protein levels of JADE1 and promotes its translocation to the nucleus leading to cooperative inhibition of canonical Wnt signaling (PubMed:21498478, PubMed:22654112). Acts as negative regulator of the hippo pathway by association with LATS1 and modifying LATS1-dependent phosphorylation and localization of WWTR1/TAZ (PubMed:21555462).

    Aliases: KIAA0673 antibody, Nephrocystin-4 antibody, nephronophthisis 4 antibody, Nephroretinin antibody, NPHP4 antibody, NPHP4_HUMAN antibody, POC10 antibody, POC10 centriolar protein homolog antibody, SLSN4 antibody

    UniProt

    O75161
Vous êtes ici:
Chat with us!