Tel:
+49 (0)241 95 163 153
Fax:
+49 (0)241 95 163 155
E-Mail:
orders@anticorps-enligne.fr

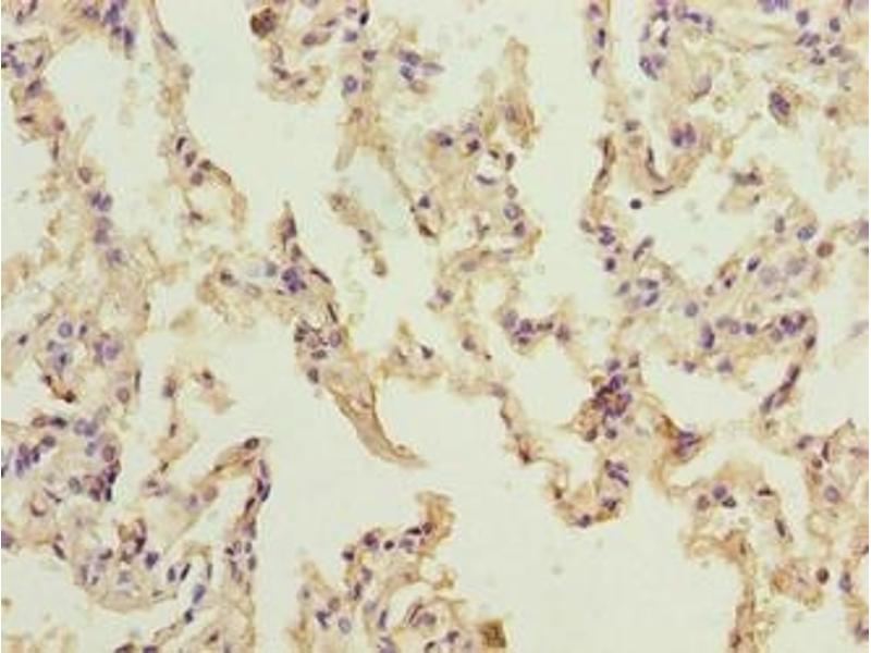
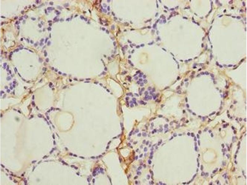
NINJ2 anticorps (AA 17-81)

Cet anticorps Lapin Polyclonal détecte spécifiquement NINJ2 dans ELISA, IHC et IF. Il présente une réactivité avec des échantillons de Humain.
N° du produit ABIN7161614
328,90 €
Plus frais de livraison 40,00 € et TVA
Destination: France
Envoi sous 11 à 15 jours ouvrables

Aperçu rapide pour NINJ2 anticorps (AA 17-81) (ABIN7161614)

Antigène

Voir toutes NINJ2 Anticorps
NINJ2 (Ninjurin 2 (NINJ2))

Reactivité

  • 12
  • 3
  • 2
Humain

Hôte

  • 6
  • 6
  • 1
Lapin

Clonalité

  • 10
  • 3
Polyclonal

Conjugué

  • 9
  • 2
  • 1
  • 1
Cet anticorp NINJ2 est non-conjugé

Application

ELISA, Immunohistochemistry (IHC), Immunofluorescence (IF)
  • Épitope

    • 4
    • 1
    • 1
    • 1
    • 1
    • 1
    AA 17-81

    Fonction

    NINJ2 Antibody

    Purification

    Protein G purified

    Pureté

    >95 %

    Immunogène

    Recombinant Human Ninjurin-2 protein (17-81AA)

    Isotype

    IgG
  • Indications d'application

    Optimal working dilution should be determined by the investigator.

    Restrictions

    For Research Use only
  • Format

    Liquid

    Buffer

    Preservative: 0.03 % Proclin 300
    Constituents: 50 % Glycerol, 0.01M PBS, PH 7.4

    Agent conservateur

    ProClin

    Précaution d'utilisation

    This product contains ProClin: a POISONOUS AND HAZARDOUS SUBSTANCE which should be handled by trained staff only.

    Stock

    -20 °C,-80 °C

    Stockage commentaire

    Upon receipt, store at -20°C or -80°C. Avoid repeated freeze.
  • Antigène

    NINJ2 (Ninjurin 2 (NINJ2))

    Autre désignation

    NINJ2

    Sujet

    Background: Homophilic cell adhesion molecule that promotes axonal growth. May play a role in nerve regeneration and in the formation and function of other tissues.

    Aliases: Nerve injury induced protein 2 antibody, Nerve injury-induced protein 2 antibody, NINJ2 antibody, NINJ2_HUMAN antibody, Ninjurin-2 antibody

    UniProt

    Q9NZG7
Vous êtes ici:
Chat with us!