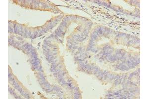
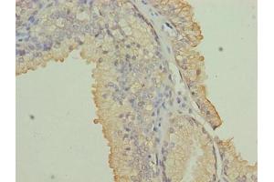
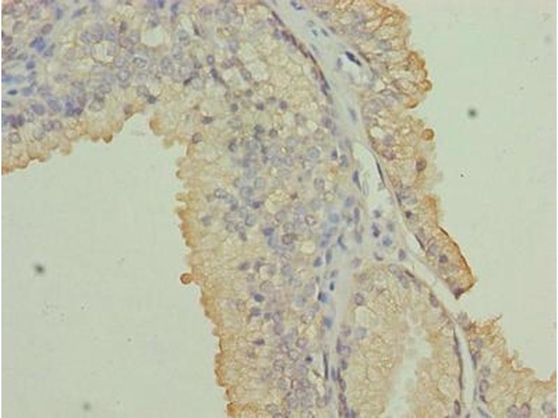
NRARP anticorps (AA 1-114)
Aperçu rapide pour NRARP anticorps (AA 1-114) (ABIN7161717)
Antigène
Voir toutes NRARP AnticorpsReactivité
Hôte
Clonalité
Conjugué
Application
-
-
Épitope
- AA 1-114
-
Fonction
- NRARP Antibody
-
Purification
- Protein G purified
-
Pureté
- >95 %
-
Immunogène
- Recombinant Human Notch-regulated ankyrin repeat-containing protein (1-114AA)
-
Isotype
- IgG
-
-
-
-
Indications d'application
- Optimal working dilution should be determined by the investigator.
-
Restrictions
- For Research Use only
-
-
-
Format
- Liquid
-
Buffer
-
Preservative: 0.03 % Proclin 300
Constituents: 50 % Glycerol, 0.01M PBS, PH 7.4 -
Agent conservateur
- ProClin
-
Précaution d'utilisation
- This product contains ProClin: a POISONOUS AND HAZARDOUS SUBSTANCE which should be handled by trained staff only.
-
Stock
- -20 °C,-80 °C
-
Stockage commentaire
- Upon receipt, store at -20°C or -80°C. Avoid repeated freeze.
-
-
- NRARP (NOTCH-Regulated Ankyrin Repeat Protein (NRARP))
-
Autre désignation
- NRARP
-
Sujet
-
Background: Downstream effector of Notch signaling. Involved in the regulation of liver cancer cells self-renewal (PubMed:25985737). May play a role in the formation of somites.
Aliases: MGC61598 antibody, Notch regulated ankyrin repeat containing protein antibody, NOTCH regulated ankyrin repeat protein antibody, Notch-regulated ankyrin repeat-containing protein antibody, nrarp antibody, NRARP_HUMAN antibody
-
UniProt
- Q7Z6K4
Antigène
-