Tel:
+49 (0)241 95 163 153
Fax:
+49 (0)241 95 163 155
E-Mail:
orders@anticorps-enligne.fr

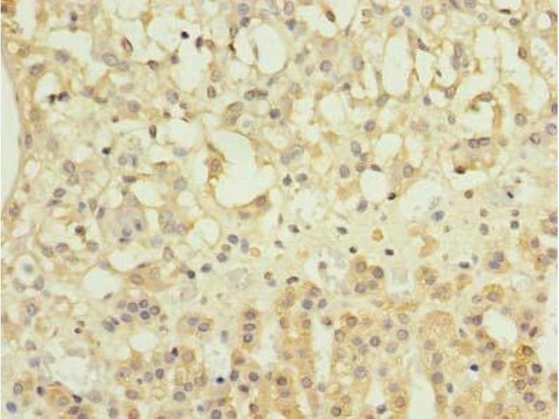
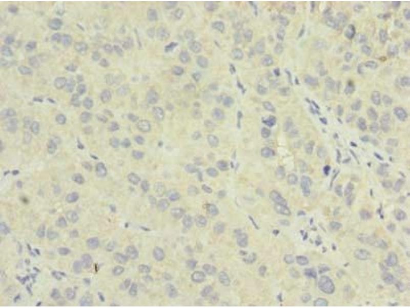
NME7 anticorps (AA 1-150)

L’anticorps anti-NME7 Polyclonal Lapin est utilisé pour la détection de NME7 dans des échantillons de Humain. Il a été validé pour WB, ELISA et IHC.
N° du produit ABIN7162044
328,90 €
Plus frais de livraison 40,00 € et TVA
Destination: France
Envoi sous 11 à 15 jours ouvrables

Aperçu rapide pour NME7 anticorps (AA 1-150) (ABIN7162044)

Antigène

Voir toutes NME7 Anticorps
NME7 (Nucleoside Diphosphate Kinase (NME7))

Reactivité

  • 30
  • 18
  • 5
  • 3
  • 1
  • 1
  • 1
  • 1
Humain

Hôte

  • 42
  • 6
Lapin

Clonalité

  • 44
  • 4
Polyclonal

Conjugué

  • 18
  • 4
  • 4
  • 3
  • 1
  • 1
  • 1
  • 1
  • 1
  • 1
  • 1
  • 1
  • 1
  • 1
  • 1
  • 1
  • 1
  • 1
  • 1
  • 1
  • 1
  • 1
  • 1
Cet anticorp NME7 est non-conjugé

Application

  • 33
  • 16
  • 13
  • 13
  • 9
  • 5
  • 3
  • 3
  • 2
  • 2
  • 2
  • 2
  • 2
  • 1
Western Blotting (WB), ELISA, Immunohistochemistry (IHC)
  • Épitope

    • 15
    • 7
    • 5
    • 5
    • 3
    • 1
    • 1
    • 1
    AA 1-150

    Fonction

    NME7 Antibody

     Réactivité croisée

    Souris

    Purification

    Protein G purified

    Pureté

    >95 %

    Immunogène

    Recombinant Human Nucleoside diphosphate kinase 7 protein (1-150AA)

    Isotype

    IgG
  • Indications d'application

    Optimal working dilution should be determined by the investigator.

    Restrictions

    For Research Use only
  • Format

    Liquid

    Buffer

    Preservative: 0.03 % Proclin 300
    Constituents: 50 % Glycerol, 0.01M PBS, PH 7.4

    Agent conservateur

    ProClin

    Précaution d'utilisation

    This product contains ProClin: a POISONOUS AND HAZARDOUS SUBSTANCE which should be handled by trained staff only.

    Stock

    -20 °C,-80 °C

    Stockage commentaire

    Upon receipt, store at -20°C or -80°C. Avoid repeated freeze.
  • Antigène

    NME7 (Nucleoside Diphosphate Kinase (NME7))

    Autre désignation

    NME7

    Sujet

    Background: Major role in the synthesis of nucleoside triphosphates other than ATP. The ATP gamma phosphate is transferred to the NDP beta phosphate via a ping-pong mechanism, using a phosphorylated active-site intermediate.

    Aliases: MN23H7 antibody, NDK 7 antibody, NDK7_HUMAN antibody, NDP kinase 7 antibody, nm23 H7 antibody, nm23-H7 antibody, NME/NM23 family member 7 antibody, Nme7 antibody, Non metastatic cells 7 protein expressed in (nucleoside diphosphate kinase) antibody, Nucleoside diphosphate kinase 7 antibody

    UniProt

    Q9Y5B8
Vous êtes ici:
Chat with us!