Tel:
+49 (0)241 95 163 153
Fax:
+49 (0)241 95 163 155
E-Mail:
orders@anticorps-enligne.fr

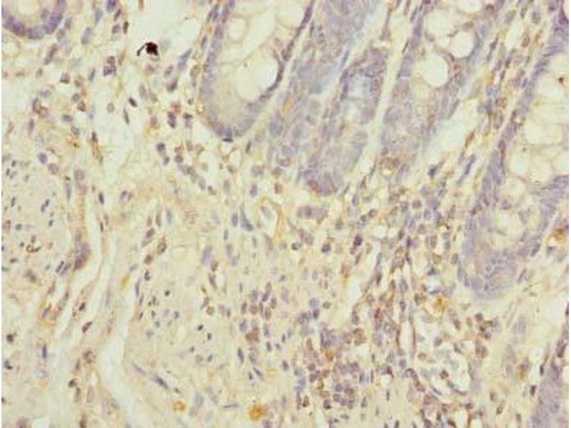
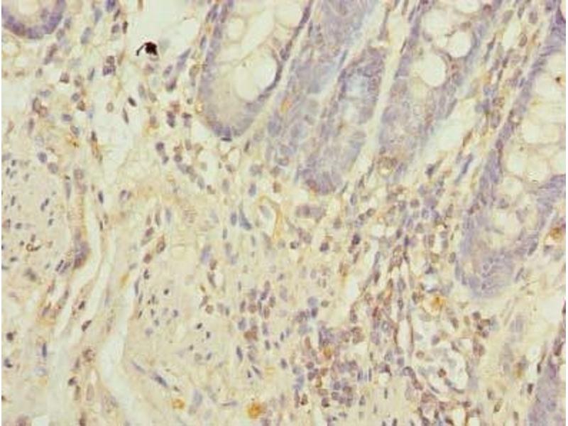
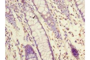
FAM55A anticorps (AA 1-405)

Cet anticorps anti-FAM55A Polyclonal Lapin (ABIN7162093) détecte spécifiquement FAM55A dans WB, ELISA et IHC. L’anticorps est réactif avec des échantillons de Humain.
N° du produit ABIN7162093
328,90 €
Plus frais de livraison 40,00 € et TVA
Destination: France
Envoi sous 11 à 15 jours ouvrables

Aperçu rapide pour FAM55A anticorps (AA 1-405) (ABIN7162093)

Antigène

FAM55A (Family with Sequence Similarity 55, Member A (FAM55A))

Reactivité

Humain

Hôte

  • 19
  • 1
Lapin

Clonalité

  • 20
Polyclonal

Conjugué

  • 3
  • 2
  • 2
  • 2
  • 1
  • 1
  • 1
  • 1
  • 1
  • 1
  • 1
  • 1
  • 1
  • 1
  • 1
Cet anticorp FAM55A est non-conjugé

Application

  • 16
  • 13
  • 13
  • 6
  • 3
  • 3
  • 1
Western Blotting (WB), ELISA, Immunohistochemistry (IHC)
Vous êtes ici:
Chat with us!