Tel:
+49 (0)241 95 163 153
Fax:
+49 (0)241 95 163 155
E-Mail:
orders@anticorps-enligne.fr

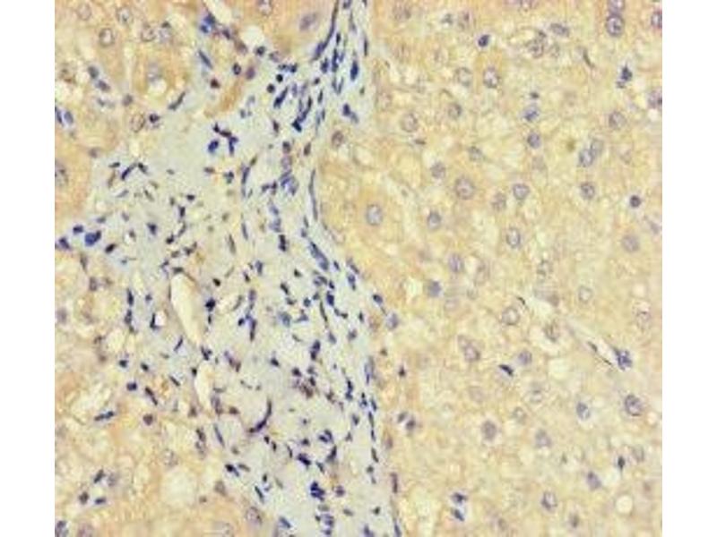
OBP2A anticorps (AA 16-170)

Cet anticorps anti-OBP2A Polyclonal Lapin (ABIN7162135) détecte spécifiquement OBP2A dans ELISA et IHC. L’anticorps est réactif avec des échantillons de Humain.
N° du produit ABIN7162135
394,68 €
Plus frais de livraison 40,00 € et TVA
Destination: France
Envoi sous 11 à 15 jours ouvrables

Aperçu rapide pour OBP2A anticorps (AA 16-170) (ABIN7162135)

Antigène

Voir toutes OBP2A Anticorps
OBP2A (Odorant Binding Protein 2A (OBP2A))

Reactivité

  • 10
  • 2
  • 1
Humain

Hôte

  • 10
  • 2
  • 1
Lapin

Clonalité

  • 12
  • 1
Polyclonal

Conjugué

  • 9
  • 2
  • 1
  • 1
Cet anticorp OBP2A est non-conjugé

Application

  • 9
  • 5
  • 5
  • 4
  • 3
  • 2
ELISA, Immunohistochemistry (IHC)
  • Épitope

    • 5
    • 2
    • 1
    • 1
    • 1
    AA 16-170

    Fonction

    OBP2A Antibody

    Purification

    Protein G purified

    Pureté

    >95 %

    Immunogène

    Recombinant Human Odorant-binding protein 2a protein (16-170AA)

    Isotype

    IgG
  • Indications d'application

    Optimal working dilution should be determined by the investigator.

    Restrictions

    For Research Use only
  • Format

    Liquid

    Buffer

    Preservative: 0.03 % Proclin 300
    Constituents: 50 % Glycerol, 0.01M PBS, PH 7.4

    Agent conservateur

    ProClin

    Précaution d'utilisation

    This product contains ProClin: a POISONOUS AND HAZARDOUS SUBSTANCE which should be handled by trained staff only.

    Stock

    -20 °C,-80 °C

    Stockage commentaire

    Upon receipt, store at -20°C or -80°C. Avoid repeated freeze.
  • Antigène

    OBP2A (Odorant Binding Protein 2A (OBP2A))

    Autre désignation

    OBP2A

    Sujet

    Background: Probably binds and transports small hydrophobic volatile molecules with a higher affinity for aldehydes and large fatty acids.

    Aliases: OBP2A antibody, Odorant-binding protein 2a antibody, Odorant-binding protein IIa antibody, OBPIIa antibody

    UniProt

    Q9NY56
Vous êtes ici:
Chat with us!