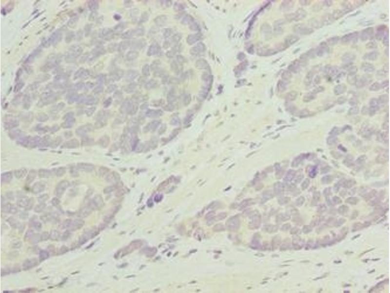
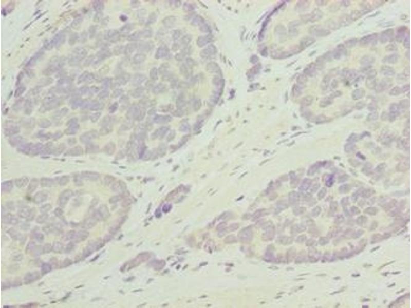
ODF3L1 anticorps (AA 1-274)
Cet anticorps Lapin Polyclonal détecte spécifiquement ODF3L1 dans ELISA, WB et IHC. Il présente une réactivité avec des échantillons de Humain.
N° du produit ABIN7162346
328,90 €
Plus frais de livraison 40,00 € et TVA
Envoi sous 11 à 15 jours ouvrables
Aperçu rapide pour ODF3L1 anticorps (AA 1-274) (ABIN7162346)
Antigène
ODF3L1
(Outer Dense Fiber of Sperm Tails 3-Like 1 (ODF3L1))
Reactivité
Humain
Hôte
Lapin
Clonalité
Polyclonal
Conjugué
Cet anticorp ODF3L1 est non-conjugé
Application
ELISA, Western Blotting (WB), Immunohistochemistry (IHC)
-
-
Épitope
-
AA 1-274
-
Fonction
-
ODF3L1 Antibody
-
Purification
-
Protein G purified
-
Pureté
-
>95 %
-
Immunogène
-
Recombinant Human Outer dense fiber protein 3-like protein 1 protein (1-274AA)
-
Isotype
-
IgG
-
-
-
Indications d'application
-
Optimal working dilution should be determined by the investigator.
-
Restrictions
-
For Research Use only
-
-
Format
-
Liquid
-
Buffer
-
Preservative: 0.03 % Proclin 300
Constituents: 50 % Glycerol, 0.01M PBS, PH 7.4
-
Agent conservateur
-
ProClin
-
Précaution d'utilisation
-
This product contains ProClin: a POISONOUS AND HAZARDOUS SUBSTANCE which should be handled by trained staff only.
-
Stock
-
-20 °C,-80 °C
-
Stockage commentaire
-
Upon receipt, store at -20°C or -80°C. Avoid repeated freeze.
-
Antigène
-
ODF3L1
(Outer Dense Fiber of Sperm Tails 3-Like 1 (ODF3L1))
-
Autre désignation
-
ODF3L1
-
Sujet
-
ODF3L1 antibody, Outer dense fiber protein 3-like protein 1 antibody
-
UniProt
-
Q8IXM7
-